Shared links on http://shaarli.chassegnouf.net/
Shared links on http://shaarli.chassegnouf.net/
Nuage de tags
Mur d'images
Quotidien
Flux RSS
Connexion
Rester connecté
Mur d'images - 2268 images
Incredible Zulu click language - The ultimate tongue twister
« Severance » : le processus de réintégration décrypté par les neurosciences
En images : Euclid dévoile trois mosaïques couvrant une vaste zone du ciel | CNES
compar:IA, le comparateur d'IA conversationnelles
The Ozempic Problem
Pourquoi la Chine fut-elle si inventive sous la dynastie Song ?
"Camping Paradis" : la chronique de Pierre-Emmanuel Barré dans "La dernière" - YouTube
Des scientifiques viennent de comprendre comment notre cerveau se nettoie chaque nuit | Slate.fr
Gardiennes de camps de concentration nazis : la véritable horreur, c’est qu’elles nous ressemblent
"Ça a été la goutte d'eau" : la gendarmerie débarque chez une médecin pour l'obliger à faire ses gardes, elle est depuis en arrêt maladie
World Sports Photography Awards 2025 : une année riche en sports
Cuisine niçoise traditionnelle - YouTube
"On a l’impression que tous les psys ont des problèmes" : la psychiatrie, la mal-aimée des étudiants en médecine
NÎMES Une rencontre pour connaître le trouble de la personnalité limite
Pourquoi les entreprises doivent davantage s’intéresser au trouble de la personnalité borderline
À 44 ans et à 60 ans, nous vieillissons de façon accélérée | Slate.fr
Faut-il en finir avec la psychanalyse ? Les vérités sur une passion française – L'Express
Limite de Roche — Wikipédia
Dépression, bipolarité, schizophrénie… La psychanalyse au révélateur de la science – L'Express
Bio-Tremplins : la biologie vit et évolue. L'enseignement aussi: Comment on analyse l'ADN pour établir une généalogie ou un degré de filiation - pour l'anthropologie, pour retrouver ses ancêtres, pour identifier un criminel
The Babylonian Map of the World with Irving Finkel | Curator’s Corner S9 Ep5
JO 2024 : la vague qui a révolutionné le surf #JOParis2024 EP. 1 🏄 - YouTube
La matière noire est-elle la clé de l'énigme du parsec final avec les trous noirs supermassifs ?
Numérique -Cartes IGN : une application qui vous aide à vous repérer et à mieux comprendre votre environnement | Service-Public.fr
On a retrouvé le sarcophage de Ramsès II | CNRS Le journal
Réfugiés LGBT+ en France : un difficile accès à la protection internationale
Faut-il arrêter de s'étirer ?
PROPSY - Programme-Projet en Psychiatrie de Précision | ANR
Avoir des frères aînés augmente la probabilité d'être gay | Slate.fr
« Dune », fer de lance du mouvement environnemental qui a participé à l’essor de l’écologie
Gérer autrement notre système de santé : les acteurs du secteur incités, mais insuffisamment formés
Mécanobiologie : la pression créatrice | CNRS Le journal
The Conversation
«Une bombe atomique» : pourquoi la guerre du riz basmati fait rage entre l’Inde et le Pakistan - YouTube
ENQUÊTE (1/2). Qui est Timothée Moiroux, l’interne en médecine à Dijon qui conseille aux patients de "taper" leurs enfants ?
Ces aides de l'État siphonnées par les offreurs au détriment des citoyens [Alexandre Mirlicourtois] - YouTube
Le "gorpcore", quand business et distinction sociale enterrent la technicité - YouTube
Programme Stygofaune : vers un bio-indicateur de la qualité des eaux souterraines - YouTube
La France pavillonnaire : un gâchis foncier et anti-écologique dépassé [Alexandre Mirlicourtois] - YouTube
Les mystères de l'Oued : l'énigme des fresques du Tassili - YouTube
Existe-t-il des profils types d’auteurs de violence conjugale ?
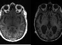
🧠[Première mondiale] Le cerveau dévoilé comme jamais grâce à l’IRM le plus puissant au monde - YouTube
"Je ne suis pas optimiste pour le futur" avec Lexie | CONTRE NATURE - YouTube
Luxemburgisme — Wikipédia
Peut-on être de gauche et porter des fringues Adidas ? - Frustration Magazine
La physique à la conquête de l’infiniment bref | CNRS Le journal
Le sang des glaciers | CNRS Le journal
« La sociologie doit renouer avec l’esprit scientifique » | CNRS Le journal
"C’est un enfer pour les patients" : pourquoi manque-t-on de traitements contre les troubles de l'attention ?
Les gardiens des trésors du Muséum | CNRS Le journal
CPAP may promote an endothelial inflammatory milieu in sleep apnoea after coronary revascularization - PubMed
Voici venu le temps des trous blancs | CNRS Le journal
Alaska : le sol se dérobe | CNRS Le journal
La société des addictions | CNRS Le journal
Sciences. Des bactéries de notre microbiote nous viennent des vaches
Le plus ancien chromosome sexuel connu est apparu il y a près de 250 millions d’années
L’archéologie devient galactique | CNRS Le journal
Notre cerveau en super résolution | CNRS Le journal
https://www.youtube.com/watch?v=1gSnrlIp9XI
« Transactivisme » - La fabrique d’une minorité totalitaire | Le Club
Le stoïcien contemporain? Un être serein qui s’engage pour le bien commun - Le Temps
Le sucre nous rend-il bêtes ? | 42 - La réponse à presque tout | ARTE - YouTube
https://www.francetvinfo.fr/culture/bd/mangas/mort-d-akira-toriyama-cinq-chiffres-sur-l-impressionnante-carriere-du-createur-de-dragon-ball-disparu-a-l-age-de-68-ans_6411748.html#xtor=CS2-765-[autres]-
Qui est Bernard Bousset, dernier homme condamné pour homosexualité ? - Charente Libre.fr
MMR Nmd: "Change my mind if you can ! #DragShows #Church" - Todon.eu
https://www.francetvinfo.fr/animaux/les-elephants-d-asie-enterrent-et-pleurent-leurs-bebes-morts-affirme-une-etude_6397837.html#xtor=CS2-765-[autres]-
https://www.francetvinfo.fr/societe/harcelement-sexuel/le-hashtag-metoogarcons-lance-par-le-comedien-aurelien-wiik-emerge-sur-les-reseaux-sociaux_6387706.html#xtor=CS2-765-[autres]-
Russie : les sanctions occidentales commencent à faire effet
Pourquoi la souffrance psychique explose en France - Frustration Magazine
« Gunnm », un monument du manga cyberpunk, du Japon à Hollywood
Trois raisons de ne pas qualifier l’extrême droite de populiste
Crau — Wikipédia
Grèce : le Parlement légalise le mariage et l'adoption pour les couples de même sexe
Lien entre apnée du sommeil et goutte
http://france3-regions.francetvinfo.fr/bourgogne-franche-comte/saone-et-loire/listeria-e-coli-salmonelles-d-ou-viennent-ces-bacteries-qui-contaminent-nos-aliments-et-comment-les-eviter-2923203.html
Early-onset gout - ScienceDirect
La musculation a des bienfaits insoupçonnés sur la santé, surtout avec l'âge
La trouvaille scandaleuse d'un chercheur sur Windows 11 - YouTube
https://www.francetvinfo.fr/monde/afrique/egypte/rendre-son-granit-a-la-pyramide-de-mykerinos-le-projet-suscite-une-vive-controverse-en-egypte_6331026.html#xtor=CS2-765-[autres]-
“Esclave”, “négresse” : d’anciennes élèves témoignent du racisme à Stanislas
https://mastodon.social/@CherylMorgan/111821511988918447
https://www.francetvinfo.fr/animaux/naissance-d-animaux/comment-l-espoir-de-sauver-le-rhinoceros-blanc-du-nord-au-bord-de-l-extinction-renait-grace-a-une-fecondation-in-vitro_6325350.html#xtor=CS2-765-[autres]-
Collège Stanislas : plainte pour discrimination LGBTphobe - Association STOP Homophobie
Meurtres des Indiens Osage — Wikipédia
Cactus Encyclo : Conseils, entretien et culture des cactus 🌵
Le roquefort et le camembert en voie d'extinction ? | CNRS Le journal
https://mastodon.social/@AllanBarte/111776314553006409
https://www.francetvinfo.fr/societe/education/derives-a-l-ecole-stanislas-la-mairie-de-paris-annonce-la-suspension-provisoire-du-financement-municipal-de-l-etablissement-prive_6309750.html#xtor=CS2-765-[autres]-
La carte des 8 000 hectares de vignes à arracher à Bordeaux
2023 : Bourgeois gaze, encore et toujours. - Frustration Magazine
Peut-on soigner l’anorexie par l’activité physique adaptée ?
ChatGPT vient de se faire détrôner par des génies français - YouTube
MEDECINS LGBT-FRIENDLY
Notation des allocataires : face aux faits, la CAF s’enferme dans le déni et la mauvaise foi – La Quadrature du Net
https://www.francetvinfo.fr/sante/soigner/diagnostic-different-selon-le-genre-ou-la-couleur-de-peau-un-fond-de-racisme-et-de-sexisme-inconscient-lie-a-notre-culture-estime-l-auteur-d-une-etude_6299175.html#xtor=CS2-765-[autres]-
La journée mondiale de la quenouille - La chronique de Constance - YouTube
Droit du travail : les prochaines saloperies du gouvernement - Frustration Magazine
L'évolution est moins aléatoire qu'on le pensait, révèle une étude
How to Pronounce Vietnamese Last Names? - YouTube
The Casualties of War in Ukraine - YouTube
Les thérapies anti-VIH pourraient être efficaces contre la sclérose en plaques
Cette plante urticante australienne produit un redoutable venin similaire à celui des araignées - Geo.fr
https://mastodon.social/@contreattaque/111660338992764807
https://phpc.social/@Crell/111638425439980525
Le syndrome Wall-E - The Searial Cleaners
Pourquoi la maladie débilitante chronique des cervidés fait elle si peur ? MDC ou CWD
La Russie largue des gaz lacrymogènes sur les lignes de front ukrainiennes dans la zone d'Orikhiv - YouTube
https://www.francetvinfo.fr/societe/immigration/reportage-projet-de-loi-immigration-c-est-une-catastrophe-s-indigne-la-communaute-de-l-enseignement-superieur_6256428.html#xtor=CS2-765-[autres]-
Une nouvelle étude dévoile un rayon cosmique d’ultra-haute énergie échappé de l’Univers extrême
Inondations : en Gironde et en Charente, des crues impressionnantes vues du ciel
VIDÉO - Inondations en Gironde : les images de la plus grande librairie d'Europe sous les eaux | TF1 INFO
Dyslexie, quelle police choisir ?
Tentatives de suicide, clinique psychiatrique : l'humoriste Constance revient sur sa dépression - YouTube
Lutter contre l’obésité avec des fibres
Depardieu : séparer le monstre du sacré - Le Billet de Charline dans « Le grand dimanche soir » - YouTube
Le TDAH c'est à la mode? - YouTube
Curlie et la recherche scientifique
Fiasco pour la fusée Vega : deux réservoirs perdus pendant sa fabrication | Ciel & Espace
Meurtre de Thomas à Crépol : les révélations du « Parisien » ébranlent le récit de l’extrême droite
Comment faire pour que les chiens durent plus longtemps ? - La question de David Castello-Lopes - YouTube
TEM : Le roman idéal pour compléter l'univers de Mars Express [critique] | Premiere.fr
Kingdom Hearts OST - Dearly Beloved [LIVE] Game Music Collective Orchestra キングダム ハーツ シリーズ - YouTube
drag-queen-dragqueens
https://mamot.fr/@akemoi/111505069101231274
Quelles sont les espèces sauvages dans votre commune ? Découvrez-les avec notre moteur de recherche
Écogeste -Bonus réparation : une aide financière pour faire rapiécer vos vêtements et vos chaussures | Service-Public.fr
LSS / Rollcall #1 at The You Betta Work Ball - YouTube
https://www.francetvinfo.fr/culture/arts-expos/photographie/un-kangourou-guitariste-des-oiseaux-en-pleine-dispute-une-loutre-ballerine-decouvrez-les-laureats-des-comedy-wildlife-photo-awards-2023_6201696.html#xtor=CS2-765-[autres]-
Doze d'économie : Les coupe-faim vont changer le monde - YouTube
Iconic Mission : The 1st Ball in Bordeaux ! - YouTube
Plumes et champagne : rideau pour le “Légendaire Cabaret Club”, le show de “Drag race France”
Sam Altman viré : pourquoi OpenAI et ChatGPT sont en danger - YouTube
https://www.francetvinfo.fr/societe/harcelement-sexuel/violences-faites-aux-enfants-des-medecins-poursuivis-devant-le-conseil-de-l-ordre-apres-avoir-donne-l-alerte-denoncent-la-loi-du-silence_6181089.html#xtor=CS2-765-[autres]-
https://mastodon.social/@contreattaque/111441208861491301
Far Ouest, des formats longs en circuit court - Média local et indépendant
https://www.francetvinfo.fr/sante/sante-une-taxe-lapin-votee-au-senat-pour-reguler-les-rendez-vous-non-honores-chez-le-medecin_6189768.html#xtor=CS2-765-[autres]-
Understanding ADHD: What you need to know | NIH MedlinePlus Magazine
https://www.francetvinfo.fr/societe/harcelement-sexuel/inceste-et-violences-sexuelles-faites-aux-enfants-ce-qu-il-faut-retenir-du-rapport-de-la-commission-independante-publie-apres-trois-ans-de-travaux_6185112.html#xtor=CS2-765-[autres]-
Une jeune Talençaise traînée par un tram sur 400 mètres, à Bordeaux - France Bleu
Bordeaux : la toute première compétition de ball culture et de voguing a réuni des centaines de jeunes danseurs
Une IA décèle les premiers signes de la sclérose en plaques | CNRS Le journal
Le détroit de Gibraltar en modèle réduit | CNRS Le journal
C’est quoi un homme féministe ? | Boys Boys Boys | ARTE - YouTube
Chapter | Chapter Bordeaux Côte D'argent | Bègles
https://www.francetvinfo.fr/societe/immigration/projet-de-loi-immigration-quatre-questions-sur-la-suppression-de-l-aide-medicale-d-etat-votee-par-le-senat_6170814.html#xtor=CS2-765-[autres]-
Une nouvelle étude met en doute le modèle standard d’expansion de l’Univers
(5) NOUS VIVONS AVEC LE VIH (1990 VS 2020)💊 - YouTube
Se débarrasser des algues filamenteuses d'aquarium - YouTube
https://mastodon.top/@CedricMas/111341257934015913
J'ai rencontré la communauté LGBT en Ukraine - YouTube
Brahouis — Wikipédia
JE SUIS INTERSEXE - YouTube
Cette langue parlée par plus de 23 millions de personnes est la moins attrayante au monde
Des chercheurs pourraient avoir découvert une nouvelle loi sur l'évolution de tout ce qui existe dans l'univers !
En 1952, trois étoiles ont brusquement disparu et on ne sait toujours pas pourquoi
Baldur's Gate Fans Want Larian To Remake The Originals
Le Jeux Vidéo Club de Marcus avec du retro gaming : de GTA à l’Amiga - YouTube
Entretien avec Pascal Boniface : “Le conflit israélo-palestinien n’est pas avant tout un conflit religieux” - Frustration Magazine
"Un nettoyage ethnique en Palestine'' - Kaoutar harchi & joseph andras - Frustration Magazine
Pourquoi le comportement homosexuel est-il si courant chez les mammifères ?
The Mother KEEHDI GORGEOUS GUCCI at The Stripes AfterMath Ball - YouTube
Lofi girl : votre compagne de télétravail, star de YouTube - Le Dessous des images - ARTE - YouTube
Multiclasse Baldur's Gate 3 : Fonctionnement et meilleurs multiclassages - Millenium
Quel hominidé a pu bâtir une telle construction en bois il y a… 476 000 ans ?
Le ruisseau des loutres - YouTube
Temps des Troubles | Wiki Le Monde des Royaumes Oubliés | Fandom
Country Ranking | Rainbow Europe
🎫 LA SOLO x MEUTE CELESTE invitent THE LEGENDARY OWENS MOTHERS | Billetterie Shotgun
https://www.francetvinfo.fr/replay-radio/le-billet-vert/habitation-a-proximite-des-vignes-la-taille-de-la-parcelle-viticole-influe-sur-le-risque-pour-un-enfant-de-developper-une-leucemie_6099645.html#xtor=CS2-765-[autres]-
Spécial Israël-Palestine : combien de guerres ? - Le dessous des cartes | ARTE - YouTube
https://mastodon.online/@AmiW/111236935814456523
https://www.francetvinfo.fr/sciences/l-astrophysicien-hubert-reeves-est-mort-a-l-age-de-91-ans_6120150.html#xtor=CS2-765-[autres]-
Israël-Palestine : au-delà de l'indignation morale, comprendre la situation - Frustration Magazine
Pourquoi vous devriez MARCHER comme un MANNEQUIN - YouTube
Angany annonce la première étude clinique chez l'humain sur son candidat vaccin l'ANG-101 pour traiter l'allergie aux chats - ANGANY
Pourquoi le "SANS NITRITE" tue - YouTube
Bienvenue au Couvent de Paris des Sœurs de la Perpétuelle Indulgence ! — Les Sœurs de la Perpétuelle Indulgence - Couvent de Paris
Welcome - Open Web Search – Promoting Europe's Independence in Web Search
La MATIÈRE NOIRE ÉBRANLÉE par une nouvelle mesure de notre galaxie ? DNDE 314 - YouTube
Les ouvriers vivent moins longtemps que les cadres : combien de temps passent-ils vraiment à la retraite ?
https://www.francetvinfo.fr/societe/euthanasie/je-ne-supporte-pas-que-l-on-dise-que-l-euthanasie-c-est-tuer-explique-marina-carrere-d-encausse-qui-presente-un-documentaire-sur-la-fin-de-vie_6083106.html#xtor=CS2-765-[autres]-
BIÈRE DE GINGEMBRE MAISON - DE LA FERMENTATION - EP1 - YouTube
Une langue indo-européenne inconnue découverte dans des tablettes hittites ancestrales - Geo.fr
Les particules de matière noire ont-elles été découvertes dans les protons ?
Sur le front ukrainien, des soldats rebaptisent leur position de tir «Macron» et «BHL» – Libération
@UNITED24media LGBTIQ+ Military Men of the Ukrainian Army. Interview with openly gay soldier - YouTube
L’exercice ne fait pas maigrir
I’ve Learned 20 Languages, but THIS One Has Been a Real Struggle… - YouTube
Comprendre l'arnaque du système bancaire n°2 par Giraud - YouTube
La Famille secrète qui possède toute l'Europe - Documentaire - YouTube
“Travailleurs de l'hôtellerie-restauration, il est temps de s’organiser” - Frustration Magazine
Covid-19 : la nouvelle campagne de vaccination est avancée au 2 octobre en raison de la hausse de la circulation du virus
Prêt russe : des mails hackés révèlent la proximité entre Marine Le Pen et le pouvoir poutinien | Mediapart
Burn out, réforme du bac : Pourquoi Monsieur Le Prof a démissionné de l’Éducation nationale l Speech - YouTube
https://mamot.fr/@redfrog/111035064006003170
Julia Cagé et Thomas Piketty : "Le vote Macron est le plus bourgeois de l'Histoire !" - YouTube
Elicit vs. SciSpace Literature Review Tool: How to use both tools to quickly find literature - YouTube
8 meilleures applications pour apprendre le basque avec votre mobile
Jour de Play, la sauvegarde - L'espace - Regarder la série | ARTE
Vers une « ChatGPTisation » du livre ?
Avoir une Passion - YouTube
On dessine ensemble une planche de BD (pleine page) ! - YouTube
https://mastodon.social/@spacemagick/110997803584281514
YouTube AutoPlay Keeps Turning On (Turn Off PERMANENTLY) - TechProfet
Les développeurs doivent-ils avoir peur de GPT5 ? - YouTube
Une découverte quantique permet d'entrevoir l'existence d'un autre monde - Enerzine
Le Canada met désormais en garde les LGBT+ qui souhaitent voyager aux Etats-Unis – Libération
UNE ÉPICERIE 100% FRANÇAISE - YouTube
Est-ce de la drague, du harcèlement ou une agression sexuelle ? Un quiz pour faire la différence
https://www.francetvinfo.fr/sante/professions-medicales/psychiatrie-greve-contre-des-fermetures-de-lit-dans-un-hopital-de-gironde_6030554.html#xtor=CS2-765-[autres]-
Malaise à l'asso LGBT de police Flag! : le nouveau président était pro-Zemmour
Santé : une étude japonaise révèle des retards de développement chez les bébés à cause des écrans
"J'ai vu que j'avais là une communauté" : avec Drag Race France "les jeunes LGBT ne se cachent plus"
EN IMAGES - Orages en Normandie : la vidéo de Trouville qui fait le tour du monde
La VRAIE SUITE de BALDUR'S GATE - YouTube
La Finlande est-elle en Scandinavie ? - YouTube
"On est dans la quatrième guerre mondiale", pour Antoine Arjakovsky, historien - YouTube
https://youtu.be/yEl_IX3Re_c
https://youtu.be/UYPVaX0lMc0
What Will English Be Like 100 Years from Now?
Le début de la fin pour ChatGPT ? OpenAI pourrait faire faillite dès 2024
Mathilde Wernert : une femme dans un monde de préhistoriens… en 1907
DESSINER SUPER BIEN C'EST DE L'ART ? 🤨 Vous en pensez quoi ??? - YouTube
https://mastodon.social/@contreattaque/110889354225384228
Le satellite Gaia a peut-être validé Mond, une théorie alternative de la gravitation qui évite la matière noire
Le khat, une drogue qui s'invite en France - AlloDocteurs
Comment dessiner des nuages et du ciel avec un STYLO | 6 motifs ciel/nuage | Éclosion APPRENDRE - YouTube
Un froid glacial aurait provoqué l’extinction des premiers humains en Europe
LA PROPRIÉTÉ IMMOBILIÈRE, C'EST LE VOL ? DLS#4 - YouTube
BRICS, États-Unis, Zone Euro : Qui va dominer le monde de demain ? - YouTube
Il utilise ChatGPT pour préparer un marathon et explose son record
Le «Black Hornet 3» : le minuscule drone-espion au service de l’Armée française - YouTube
Tristan Poupard, directeur du Girofard - Vidéo Dailymotion
The Ultimatum : enfin des lesbiennes médiocres à la télé - YouTube
Un géographe réagit à The Line, la ville futuriste d’Arabie saoudite - YouTube
https://www.francetvinfo.fr/societe/qu-est-ce-que-civitas-le-mouvement-catholique-integriste-dont-gerald-darmanin-a-engage-la-dissolution_5995748.html#xtor=CS2-765-[autres]-
La lèpre en passe de devenir endémique dans le sud des États-Unis
Manufacturing process of Tiffany Lamps. A stained glass lamps production factory. - YouTube
Les soldats ukrainiens sur le front de Kreminna, la "forêt noire" - YouTube
Vidéo : C'est quoi un orage volcanique ?
Cultiver sans eau ou presque : la technique du zaï au Sahel
https://www.francetvinfo.fr/monde/italie/nous-savions-que-ca-finirait-par-arriver-en-italie-la-traque-des-familles-homoparentales-par-le-gouvernement-de-giorgia-meloni-a-commence_5987957.html#xtor=CS2-765-[autres]-
IA générative d'images : Midjourney est-il détrôné ?
Jusqu'à 340 tonnes : le Perucetus colossus est peut-être l'animal le plus lourd de tous les temps - Geo.fr
Virus du Nil occidental : un premier cas d’infection à Bordeaux
Pourquoi la France livre-t-elle trois vaches à l’Espagne chaque année ?
https://youtu.be/Ntwd_SlWrLg
Violences sexistes : comment boycotter la police ? - Contre Attaque
Des astronomes découvrent WASP-193b, une exoplanète dont la densité est comparable à de la barbe à papa !
PS5 : une énorme mise à jour arrive, c'est du très lourd
Des voleurs se font passer pour des agents de Bordeaux Métropole
"Il arrive que je ne puisse rien faire contre ces truands friqués" - Frustration Magazine
https://mastodon.social/@AllanBarte/110810052221624805
"La montagne n'est pas une carte postale" : bergère VS folklore touristique
5 pistes pour combattre l'antisémitisme à gauche - Frustration Magazine
Comment la police met fin à l'État de droit - Frustration Magazine
Grâce à l’ADN, rencontre avec une famille « française » du Néolithique
phil: "#elonmusk #twitter " - Shelter
Jamais vue en 200 ans, black-out de plusieurs jours… Cette tempête solaire extrême pour laquelle la Terre n'est pas préparée et qui inquiète les scientifiques - lindependant.fr
Biodiversité : à ne pas confondre avec une libellule, l'agrion de mercure, la demoiselle du Sud qui vit dans le Nord
CAROLINA REAPER VS MEALWORMS - YouTube
ERNESTO GARCIA CABRAL HD 1080p - YouTube
À Rouen, la plainte contre un manifestant se retourne contre un policier | Mediapart
https://www.francetvinfo.fr/culture/spectacles/danse/des-cours-de-voguing-ouverts-a-tous-en-plein-air-a-la-gaite-lyrique-avec-vinii-revlon_5977118.html#xtor=CS2-765-[autres]-
Après avoir dépensé 14 000 euros pour devenir un chien, ce Japonais franchit un nouveau cap dans sa nouvelle vie
Pénurie de personnel : les restaurateurs ont ce qu'ils méritent
Santé : manger sainement et faire du sport permet aux hommes de gagner 24 ans de vie, 21 ans pour les femmes
https://youtu.be/QX70le3E9hM
Dégustation : les trois âges des vins rouges
Des Panthères roses au Téléjournal... - YouTube
Forêts primaires : l’urgente utopie de Francis Hallé – Libération
Incapable de tenir une diète : Le cas Amberlynn Reid - YouTube
Un fossile découvert en Chine offre un aperçu de l’attaque d’un petit mammifère contre un dinosaure - Le Temps
Twitter paie désormais ses créateurs de contenu, mais le critère de sélection est... très particulier
Le JWST a-t-il observé des « étoiles noires » ?
Retraites : la réforme pourrait engendrer un « surcoût »
Mariage pour tous : Bègles, 2004, un moment de bascule
Aspartame : l’OMS classe l’édulcorant artificiel comme potentiellement cancérogène
NECTAR : Nématodes Cultures Taxonomie Arthropodes - Cours - FUN MOOC
Introduction à la physique quantique - Cours - FUN MOOC
Une explosion de vie se produit tous les 36 millions d'années, et nous savons enfin pourquoi
(3) CEERS: Flight to Maisie's Galaxy - YouTube
Taliban Endorses Twitter Over Threads
(3) Gaspacho de melon - YouTube
Straight Story Soundtrack - Laurens Walking - YouTube
Colonisation de l’Europe par Homo sapiens : une nouvelle étude rebat les cartes
https://youtu.be/rGwq9xW49FI
Les héritiers de Lucy / Lucy's Heirs (5) - Jean-Jacques Hublin (2022-2023) - YouTube
Quand Hicham Berrada utilise la chimie pour créer un monde merveilleux
Le télescope Euclid s’envole le 1er juillet sur les traces des deux plus grands mystères de l’Univers
« Eteignez chaque nuit votre smartphone pendant 5 minutes » : pourquoi faut-il le faire
https://framapiaf.org/@sebsauvage/110629463495645304
https://mastodon.social/@STPo/110626209893643865
Un nouveau sous-type de dépression pourrait expliquer l’échec de certains antidépresseurs
Tarte fine courgettes feta - YouTube
Que sont ces pierres mystérieuses trouvées dans une roche vieille de 2,8 milliards d'années - BBC News Afrique
Villemoustaussou. Le vin sans alcool séduit des consommateurs - ladepeche.fr
Le surdoué millionnaire qui domine Fortnite. - YouTube
https://www.francetvinfo.fr/monde/europe/manifestations-en-ukraine/guerre-en-ukraine-le-chef-du-groupe-wagner-affirme-controler-plusieurs-sites-militaires-en-russie-apres-avoir-lance-une-rebellion-armee_5908367.html#xtor=CS2-765-[autres]-
23 Jun: RUSSIANS KILL EACH OTHER IN A SUDDEN VIOLENT COUP | War in Ukraine Explained - YouTube
QUAND ALAIN CHABAT PARODIE UNE PUB POUR LA REDIFFUSION D' ASTERIX & OBELIX : MISSION CLEOPATRE 😂🎬 - YouTube
Cop Arrests Cop for Speeding - YouTube
"Être Noir" : Message à Clémentine Célarié ! - YouTube
https://www.francetvinfo.fr/societe/education/temoignages-ce-n-est-pas-le-metier-qui-m-a-degoute-mais-l-encadrement-des-etudiants-infirmiers-racontent-pourquoi-ils-ont-rendu-leur-blouse_5828798.html#xtor=CS2-765-[autres]-
Un récit "pornographique": pour dénoncer une loi conservatrice, un parent fait interdire la Bible d'écoles de l'Utah
https://www.francetvinfo.fr/monde/ameriques/amazonie/colombie-les-quatre-enfants-disparus-dans-la-jungle-depuis-40-jours-retrouves-vivants_5879699.html#xtor=CS2-765-[autres]-
De l'énergie solaire transmise depuis l'espace à la Terre, une première mondiale - CNET France
« Drag Race France » revient le 30 juin sur France 2
Les trous noirs de Hawking ne seraient pas les seuls à s'évaporer par rayonnement quantique !
Biomimétisme : retour sur Amelios, un dispositif économique inspiré de la pollinisation des abeilles
L'espace-temps rayonne à proximité des trous noirs et des étoiles à neutrons - YouTube
https://mastodon.social/@SirTapTap/110486693419288777
Le vrai régime paléo : de nouveaux éléments archéologiques nous éclairent sur l’alimentation de nos ancêtres
Tract des linguistes - Le français va très bien, merci
Momies de Saint-Michel de Bordeaux — Wikipédia
https://fosstodon.org/@ovid/110456376659542676
Arnaque "DPD Express Paiement" sur "Le Bon Coin" - Blog EugeneToons
Le temple satanique : la « religion » qui cherche à contrecarrer l'influence des groupes religieux aux États-Unis - BBC News Afrique
Les sciences archéologiques à l’ère du virtuel - Le visage d’Adèle, enfant du xe siècle : restitution scientifique pluridisciplinaire pour une muséographie personnifiée du site archéologique de la Granède (Millau, Aveyron) - Éditions du Comité des travaux historiques et scientifiques
https://mastodon.social/@funambuline/110411286465509181
Après cinq dégradations en moins de trois mois, le centre LGBTI de Touraine attaqué à l'explosif - Association STOP Homophobie
Bols tibétains : une invention occidentale - YouTube
FRANCE INTER : ENQUÊTE SUR LES COULISSES D'UNE CENSURE (OFF INVESTIGATION) - YouTube
https://www.francetvinfo.fr/politique/nicolas-sarkozy/affaire-des-ecoutes-nicolas-sarkozy-condamne-en-appel-a-trois-ans-d-emprisonnement-dont-un-an-ferme-pour-corruption-et-trafic-d-influence_5828717.html#xtor=CS2-765-[autres]-
L'Entropie - Passe-science #17 - YouTube
Les plus vieux macro-organismes eucaryotes planctoniques datés de 2,1 milliards d’années, découverts au Gabon
NASA Animation Sizes Up the Biggest Black Holes - YouTube
Transports en Allemagne : le pass mensuel illimité à 49 euros démarre lundi – Libération
La première tuile apériodique de l'histoire! The Hat - Passe-science #53 - YouTube
«Se faire vacciner semble protéger contre le risque de maladie d’Alzheimer» – Libération
(2) Le critique François Saucisson revient de Chez Mimoune" - La chronique de Benjamin Tranié - YouTube
Truth Or Consequences ✅: "Real vs hyped causes of deaths…" - Shelter
VIDEO. Alerte rouge sur le vin de Bordeaux : les raisons d'une grave crise
Rat Pulls Off a Big Brain Move - YouTube
World War II Every Day with Army Sizes - YouTube
L'ouragan hexagonal de Saturne, véritable casse-tête pour les physiciens
Tchernobyl : comment les chiens errants ont muté génétiquement
La FOLLE histoire de "J'irai dormir chez vous" racontée par le mythique Antoine de Maximy ☀ - YouTube
Grandpa Wasn't Ready for It - YouTube
Does our DNA really determine our intelligence and health?
Royaume-Uni : un responsable de la maison d'édition française La Fabrique dans le viseur de l'antiterrorisme
La vérité sur les réseaux sociaux … ( j’avais besoin de te dire ça 🫢) - YouTube
La gravité se serait-elle transformée en lumière à l’aube de l’Univers ?
Une étrange roche avec des pointes alignées et parallèles photographiée sur Mars
Ancien policier ne supportant plus la violence de ses collègues, il témoigne - YouTube
VIDEO. Etats-Unis : 18 000 vaches tuées dans l'explosion d'une ferme
Ce que pensent les Ukrainiens déplacés en Europe par la guerre | Le Grand Continent
Le scrabble polonais | lepetitjournal.com
Nappes phréatiques au plus bas : la carte des départements menacés par la sécheresse cet été 2023 – Libération
Une carte de la matière noire confirme la théorie d'Einstein et la cosmologie standard
Candida auris : que sait-on de ce champignon mortel qui se répand dans les hôpitaux des États-Unis ?
https://www.francetvinfo.fr/replay-radio/le-monde-est-a-nous/coupe-du-monde-mal-informe-paranoiaque-les-obsessions-de-vladimir-poutine-racontees-par-un-ancien-officier-de-securite_5727479.html#xtor=CS2-765-[autres]-
https://mastodon.social/@LastEquinoxx/110139562700657882
fenarinarsa :pokeball:: "Rappel si vous êtes demandeur⋅…" - Shelter
J'ai été contacté par la DGSE - YouTube
Trouble dans la cosmologie | CNRS Le journal
https://mastodon.sdf.org/@BeamsAndBows/109333129233948282
https://www.francetvinfo.fr/culture/arts-expos/face-au-pillage-de-l-intelligence-artificielle-un-logiciel-baptise-glaze-pour-proteger-les-oeuvres-artistiques_5735483.html#xtor=CS2-765-[autres]-
https://www.francetvinfo.fr/monde/afrique/egypte/egypte-2-000-tetes-de-beliers-momifiees-decouvertes-dans-le-temple-de-ramses-ii_5733731.html#xtor=CS2-765-[autres]-
Communiqué de presse: Dupixent® pourrait devenir le premier médicament biologique contre la bronchopneumopathie chronique obstructive, après une étude pivot montrant une réduction significative des exacerbations - Sanofi
Santé mentale et soins psychiques de l’enfant : les impasses du « tout biologique »
https://www.francetvinfo.fr/les-jeux-olympiques/paris-2024/projet-de-loi-olympique-l-assemblee-nationale-adopte-un-article-controverse-sur-la-videosurveillance-algorithmique_5728034.html#xtor=CS2-765-[autres]-
Marc Dubuisson: "Dessin de 2018." - Mastodon
"On a maintenu l'hôpital à bout de bras et aujourd'hui on nous jette": la rage des médecins intérimaires | egora.fr
Pathologies des fibulaires - YouTube
Marie Dauphin - Y'a des Papous 1987 - Vidéo Dailymotion
https://france3-regions.francetvinfo.fr/nouvelle-aquitaine/gironde/bordeaux/bordeaux-1900-personnes-dans-la-rue-ce-samedi-contre-la-reforme-des-retraites-selon-la-prefecture-2735338.html
https://www.francetvinfo.fr/monde/europe/manifestations-en-ukraine/direct-ukraine-le-president-chinois-xi-jinping-rencontrera-le-president-russe-vladimir-poutine-la-semaine-prochaine_5716508.html#xtor=CS2-765-[autres]-
https://mastodon.world/@tazz602/110036684806729840
francetvinfo : voici un message extrait de "L'actu en continu"
Une brève histoire de la calvitie
Le Beauf "Sers moi un godet la vilaine" - Benjamin Tranié / Radio Nova - YouTube
CES JEUX QUI M'ONT MARQUÉ - HALF-LIFE (PC) - YouTube
Des roches plus vieilles que ce que l’on pensait au cœur des Alpes
Et si on éliminait les accents… de nos façons de penser ?
https://www.francetvinfo.fr/france/hauts-de-france/nord/lille/immeubles-effondres-a-lille-de-nouvelles-evacuations-dans-le-centre-de-la-ville-quatre-mois-apres-le-drame_5707547.html#xtor=CS2-765-[autres]-
https://www.francetvinfo.fr/economie/on-vous-explique-pourquoi-la-faillite-de-la-silicon-valley-bank-ravive-les-craintes-d-une-crise-bancaire_5705405.html#xtor=CS2-765-[autres]-
What shocked a former North Korean spy when he met the CIA - YouTube
Alerte ! Découverte d'un astéroïde qui pourrait heurter la Terre en 2046
A LONDONER Explains How to Speak COCKNEY (London accent) - YouTube
T'as pris ta pilule ? | Libres ! | Saison 02 Episode 03 | ARTE - YouTube
RuPaul a un message pour ceux qui interdisent les spectacles de drag queens aux enfants
Une NOUVELLE THÉORIE pour expliquer les DÉBUTS de l'UNIVERS ? (Big Bang Sombre) - YouTube
Débat : L’Égypte noire est-elle une imposture ?
Le chaînon manquant de l’eau trouvé à plus de 1 000 années-lumière de la Terre
"J’associe beaucoup la famille à la déperdition, à la tristesse, l’ennui", Geoffroy de Lagasnerie - YouTube
Car Crash Interrupts Podcast - YouTube
La dissection de la Cione, un Urochordé - To Take Nature - La Nature sous toutes ses formes
Les élevages intensifs LDC (avec L214) - AMI DES LOBBIES #23 - YouTube
Les hérissons : une mort annoncée | Histoires de mammifères
Quels soins psychiatriques dans les prisons françaises ?
Troubles psychiatriques à l'entrée en prison : un enjeu de santé publique
Santé mentale à la sortie de prison : la grande oubliée
Bordeaux : une mosquée taguée par un groupuscule d'extrême-droite, les locaux du Planning familial à nouveau visés, les réactions se muliplient
Allan Barte: "La Macronie a érigé le mensonge comme mode d'exer…" - Mastodon
"Pokemon Sleep", un nouveau jeu mobile qui veut aider ses utilisateurs à mieux dormir
Ionica Smeets: "The trolley problem: your imag…" - Shelter
1ère sommation: harceler les harceleurs
Sabobine: "" - La Quadrature du Net - Mastodon - Media Fédéré
https://mamot.fr/@Force_Ouvriere/109908657555891655
Disparition d'un géant : Leiji Matsumoto, père d'Albator, nous quitte à 85 ans.
Est-ce vrai que la consommation de kaolin est dangereuse pour la santé ? Le Vrai du Faux Junior
Incroyable : les trous noirs sont peut-être la cause de l'énergie noire
Une explosion spatiale exceptionnelle, qui ne se produit qu'une fois par millénaire, vient d'être détectée
TEST de Pharaoh A New Era : exhumation réussie ou profanation malheureuse ?
Haute Autorité de Santé - Un nouveau parcours de santé pour la personne présentant une douleur chronique
Catsuka (@catsuka): ""Pluto" anime is coming on Netflix. Based on the manga by Naoki Urasawa (x Tezuka's Astroboy). https://www.animenewsnetwork.com/news/2023-02-14/shogakukan-lists-pluto-animated-series-with-netflix-streaming/.194892 https://bigcomicbros.net/pluto_netflix/" | nitter
Je devine TON Histoire en regardant tes PIEDS ( fasciite plantaire / épine calcanéenne/pieds plat) - YouTube
Pied creux : causes, symptômes et complications | Podexpert
Chassegnouf: "Bilan de mes lectures #manga d…" - Eldritch Café
Les Etats-Unis ont abattu un "engin volant à haute altitude" au-dessus de l'Alaska | Euronews
HARD CORNER ft. Mister MV - Le STEAMDECK ! Pigeon/20 ? - YouTube
VIDÉO. Bordeaux : les appels au 115 sans réponse, une épreuve pour les sans-abris
Planning familial de Gironde : une plainte déposée contre un groupuscule d'extrême droite après des tags
Souffrance psychologique -Prévention du suicide : quels sont les dispositifs d’aide et d’écoute ? | Service-public.fr
Tournesol
A novel therapeutic approach for cat allergy using Fel d 1 expressing bioparticles - ScienceDirect
7d524409e8e9f5d3.jpg (Image JPEG, 1199 × 514 pixels)
Santé: L'Espagne teste un médicament interdit en France qui permet d'arrêter de fumer en 25 jours ! - lindependant.fr
https://mastodon.social/@Shyle/109808228355340963
Ces photos montrent un musée de l'aviation et un entrepôt privé, pas des bases souterraines secrètes | Factuel
combien de bananes pour détruire la terre ? : r/france
Pourquoi Edgar Allan Poe est l’écrivain préféré des incompris
Diamant Palace, la websérie entre onirisme et engagement - Culturius
https://framapiaf.org/@sebsauvage/109777091377904477
Milliard ennuyeux — Wikipédia
Suicide du jeune Lucas : quatre de ses camarades seront jugés pour harcèlement
Les États-Unis attaquent Google pour abus de position dominante
L’Univers est-il infini ?
Boucler un marathon par jour pendant un an : comment Gary McKee a réussi cet exploit
https://mstdn.fr/@lm/109739803852340450
ChatCGT – Quand l’IA se syndique
Justice et #DrahiLeaks, une victoire pour le journalisme d’investigation | Reflets.info
Assurance Maladie -Qu'est-ce que la carte Vitale dématérialisée ? | Service-public.fr
Le jeûne intermittent : une stratégie séduisante… mais compliquée à mettre en place
https://www.francetvinfo.fr/economie/commerce/go-sport-trois-questions-sur-les-deboires-du-numero-trois-francais-des-articles-de-sport_5611853.html#xtor=CS2-765-[autres]-
Ivres, les deux chasseurs tiraient les lapins en pleine nuit depuis leur voiture
Transphobie : Libération déroule le tapis rouge à Caroline Eliacheff, psychiatre réactionnaire
Le moment, par Frédéric Lordon (Les blogs du Diplo, 17 janvier 2023)
Quand les IA s’attaquent à nos accents
Découverte d’un réseau de zones cérébrales commun à 6 maladies psychiatriques
Un économiste démonte les arguments du gouvernement sur la réforme des retraites - YouTube
Le Beauf - La chronique non diffusée de 2018 ! (J'ai honte) - YouTube
Nathanaël Martel: "«Qui aurait pu prédire ?» beau…" - Framapiaf
Quelle est la meilleure marque de téléphone en 2022 ?
Fin de l'exigence du certificat psychiatrique pour le parcours de transition des personnes transgenres - Association STOP Homophobie
https://mastodon.social/@GeoffreyDorne/109629470345385268
Depuis que le mariage homosexuel a été légalisé aux États-Unis, le taux de suicide a chuté chez les adolescents
https://www.francetvinfo.fr/faits-divers/gironde-un-homme-interpelle-apres-avoir-agresse-son-bebe-de-quatre-mois-devant-sa-mere-et-des-employes-de-mairie_5580126.html#xtor=CS2-765-[autres]-
https://mamot.fr/@EnercoConseils/109630684330067799
https://framapiaf.org/@sebsauvage/109630357248676075
https://mamot.fr/@redfrog/109626502880496652
https://framapiaf.org/@sebsauvage/109625250596368733
Benjamin Tranié - Le réveillon de Claude Bourbier - Moi, ce que j'en dis... - YouTube
Tri sélectif à Bordeaux Métropole : jetez 100% de vos déchets plastiques dans les poubelles en 2023
Kilonova — Wikipédia
Une nouvelle forme de vie a été découverte sur Terre
Drider | Forgotten Realms Wiki | Fandom
https://piaille.fr/@CedarWanderer/109599517749832742
https://www.francetvinfo.fr/monde/russie/russie-vladimir-poutine-offre-huit-bagues-a-des-dirigeants-allies-le-kremlin-contraint-de-nier-tout-lien-avec-le-seigneur-des-anneaux_5568579.html#xtor=CS2-765-[autres]-
Skaen - Official Pillars of Eternity Wiki
Les données de plus 400 millions d'utilisateurs de Twitter ont été mises en vente sur le dark web. Obtenues à partir d'une vulnérabilité d'API, les numéros de téléphones de personnalités ont fuité
https://mastodon.social/@paul_denton/109556186134852391
500,000 Steps Dr. Martens vs Solovair (4 Things I Hate) - YouTube
How Saturn Got Its Rings | The Planets | Earth Lab - YouTube
Abonnez-vous à la newsletter ! | Les Méninges | Place des Sciences
Cécile Duflot :verified:: "Attendre que la poussière reto…" - Piaille
Thursday Night Purge: Elon Musk’s Twitter Bans Tons Of High Profile Journalists | Techdirt
Speeding Boat Heads Straight For Swimmer - YouTube
Musique des étoiles : quand les images du ciel se transforment en symphonie
Voici la liste des médicaments dangereux à écarter en 2023
Le NPA acte son divorce avec Philippe Poutou et Olivier Besancenot
La véritable cause d’Alzheimer enfin découverte ?
« Dwarf Fortress » sur Steam : le jeu culte sort de sa grotte
https://mstdn.social/@nassiraelmoaddem/109477117268953749
https://piaille.fr/@francecorruption/109471472545213709
https://masto.bike/@IvanDrLghn/109465517547435100
Pourquoi les dirigeants de la tech veulent-ils faire tellement d'enfants ? - Numerama
Wiki Trans — Site d'information pour les personnes trans et leurs proches
Les Méninges | Place des Sciences | Réflexions d'un jeune interne en psychiatrie.
Quand l’univers du « drag » français rencontre le grand public
Nouvelle méthode de contraception : une première depuis 60 ans - Sciences et Avenir
Qu'est-ce que le compost, obligatoire dans chaque foyer à partir du 1er janvier 2024 ?
https://eldritch.cafe/@wikitrans/109410893115949585
ploum.net: "Each new generation on the web…" - La Quadrature du Net - Mastodon - Media Fédéré
L’Assemblée nationale vote pour l’inscription du droit à l’avortement dans la Constitution
Sorin Orii (pre-PhD): "I made Thanksgiving dinner and now the kids are c…" - Mastodon
Le virus Usutu détecté en France : faut-il s'inquiéter ? - Le Point
https://piaille.fr/@lecoindeslgbt/109393619156576593
-Boulet- :verified:: "En revanche on ne peut toujours poster que quatre…" - the Octodon
Russie: une nouvelle société militaire privée va agir au nom de l’Église orthodoxe
Katherine Parkinson : Meilleurs films et séries - AlloCiné
sebsauvage : « En ce moment sur Twitter, random: "Haha Mastodon … » - Framapiaf
INFO FRANCEINFO. Affaire des respirateurs Philips : des documents accablants transmis à la justice française
https://youtu.be/FSz6e7dp76Y
Baekjeong - Wikipedia
Arbres - Cours - FUN MOOC
https://mastodon.top/@Vilain_Syndicaliste/109349497123861062
zhivi: "If you need it and want to join, here is the Blac…" - Black Twitter
La quête des traces d'un univers précédent - Sciences et Avenir
https://piaille.fr/@melaniejaoul/109335448935971173
Charles Bradley "Changes" (OFFICIAL VIDEO) - YouTube
Nord : deux immeubles s'effondrent dans le centre de Lille, une "importante opération de secours" déclenchée
https://mastodon.social/@CorentinLamy/109318753904011434
Le M😷n😷lecte 🤬🐧 : « L’anthroposophie, le féminin sacré, le masculinis… » - Framapiaf
Tool — Wikipédia
(1) Les Anneaux de Pouvoir - L'Erreur d'Amazon (Analyse Narrative) - YouTube
(1) Les Anneaux de Pouvoir - L'Erreur d'Amazon (Analyse Narrative) - YouTube
"Le plus gros depuis 8 ans" : l'incroyable découverte d'un astéroïde tueur de planètes caché par la lumière du soleil - lindependant.fr
fenarinarsa 🍑 : « La saison 2 de The Owl House est enfin disponible… » - Shelter
Troubles bipolaires : Une décennie de découvertes ⋅ Inserm, La science pour la santé
Happiness - YouTube
"La posture des néofascistes c'est de prétendre que le monde politique et médiatique est partout dominé par la gauche" par Ugo Palheta
La Chine met en service la plus grande porcherie au monde dans une ferme verticale de 26 étages
Obama chez moi! The invasion of metropolitan France by the land planarian Obama nungara (Platyhelminthes, Geoplanidae) [PeerJ]
Pourquoi y a-t-il une pénurie de médecins en France ? - YouTube
Nouvelles drogues : les cathinones de synthèse circulent de plus en plus en France
Math Professor Fixes Projector Screen (April Fools Prank) - YouTube
Des chercheurs confirment une anomalie dans la structure du proton
The problem with being an inventory hoarder - YouTube
Les diversités de colorations, une stratégie d’adaptation pour les escargots des dunes
« Il n’y a pas de santé sans santé mentale » | CNRS Le journal
Certaines personnes sont de véritables aimants à moustiques, et une nouvelle étude révèle pourquoi
Du marxisme à l'écologie - André Gorz, Ep.01 - peer.tube
Comprendre la phénoménologie avec une tique (Von Uexküll) - peer.tube
Voici dix échantillons qui ont marqué l’histoire de la chimie | CNRS Le journal
(14) Le PIRE CONSEIL pour protéger le DOS !! 30 ans qu'on bassine les gens d'injonctions inutiles - YouTube
https://www.francetvinfo.fr/monde/environnement/crise-climatique/parler-gentiment-a-montre-ses-limites-face-a-la-crise-ecologique-et-climatique-des-scientifiques-racontent-pourquoi-ils-entrent-en-rebellion_5389834.html#xtor=CS2-765-[autres]-
Pourquoi les japonais dessinent-ils des blancs ?
https://www.francetvinfo.fr/sante/deserts-medicaux/sante-quatre-questions-sur-la-reforme-des-etudes-de-medecine-generale-qui-suscite-la-colere-des-internes_5411005.html#xtor=CS2-765-[autres]-
Pourquoi Reflets a décidé de continuer de publier son enquête sur Altice | Reflets.info
Est-il vrai que 40 % des naissances sont «le fait de l’immigration extra-européenne» comme l’affirme Jordan Bardella ? – Libération
Une baleine échouée sur les quais de Bordeaux ce matin ?
L'histoire de la virilité est complètement WTF - YouTube
Le taboulé libanais - Les recettes (d'été) de François-Régis Gaudry - YouTube
(11) De vrais bouillons cubes maison - YouTube
Dépression : pourquoi la kétamine est si efficace ? – Libération
Flip-Segment Digital Clock Is A Miniature Mechanical Marvel | Hackaday
Des astronomes découvrent une planète océan entièrement recouverte d’eau
Une nouvelle méthode — Conseil National de la Refondation
L’évolution est plus rapide qu’on ne le pensait chez les animaux sauvages
En attendant la chute du principe d’équivalence | CNRS Le journal
Intéressant: Pourquoi certaines chèvres deviennent raides quand elles ont peur ? - 28 minutes - ARTE - YouTube
Non, une « bonne posture » ne prévient pas le mal de dos… pas plus qu’une « mauvaise » ne le provoque
YouTube n’écoute presque jamais les utilisateurs qui ne veulent pas voir certaines vidéos
L'un des films de science-fiction les plus sous-estimés de ces dernières années est dispo sur Amazon Prime Video - Purebreak
https://www.francetvinfo.fr/monde/chine/chine-une-femme-robot-pilotee-par-une-ia-devient-pdg-d-une-entreprise-de-plusieurs-milliers-de-salaries_5386039.html#xtor=CS2-765-[autres]-
Reflets.info poursuivi au tribunal de commerce pour ses articles sur Altice
GRANDPA TRIES DRAG FOR THE FIRST TIME | Extreme Drag Transformation - YouTube
This is the most interesting roof in London. - YouTube
Usul. Écologie et lutte de classe : quand le jardinage ne suffit plus - YouTube
AMI DES LOBBIES #21 - Vider l'océan - YouTube
(13) Frankulin et les Tortues Clodo / Herr Tatillon - Les Kassos #93 - YouTube
Le plus vieux cœur de vertébré connu éclaire l’histoire de notre corps
Quand la Chine exécute ses prisonniers pour alimenter le trafic d’organes
Les Anneaux de Pouvoir : c'est quoi un palantír, et pourquoi Amazon en a fait n'importe quoi
94996899012a512d.jpeg (Image JPEG, 678 × 970 pixels)
La fin pour cet aquarium... - YouTube
Le premier magasin anti-gaspillage du Sud-Ouest a ouvert ses portes à Bordeaux
Avancée majeure contre le cancer : un simple test sanguin suffirait à détecter plus de 50 types de cancers avant que les symptômes apparaissent - lindependant.fr
Violences sous silence : une enquête en Nouvelle-Aquitaine révèle l’ampleur des féminicides en milieu rural
Reines d’Égypte : l’art de conjuguer érotisme et pouvoir
Faut-il séparer les jumeaux à l’école ?
Comment lutter contre les cinq principales bactéries responsables des intoxications alimentaires en France
Face à un Ordre des médecins jugé rétrograde, opaque et corporatiste, des praticiens entrent en dissidence - Basta!
Google, l'espion le plus con du monde | Grise Bouille
Nucleosynthesis periodic table-fr final - Nucléosynthèse — Wikipédia
Dans l’Ohio, la famille d’un jeune Noir tué dans son lit par un policier va porter plainte
Deux rapports américain et français convergent : acheter un NFT, c'est acheter du vent
La Cour de cassation confirme la redevance sur les musiques libres diffusées dans les magasins
Tentative d’arnaque avec un faux avis de passage de La Poste, un code QR et une faille
Un cyclone tropical anormal va-t-il frapper la France et l'Espagne ? Un météorologue espagnol donne l'alerte - lindependant.fr
(6) Epic Cycling | 134.5 kg Concrete Bike - YouTube
Une naine noire va-t-elle sceller le destin de l'Univers ?
Découverte d'un jet de trou noir de plus d'un million d'année-lumière de long !
Shyle : « On démarre cette 17e année de BD sur la toile. Et… » - Mastodon
Pourquoi les moustiques piquent-ils certaines personnes plus que d'autres? | Slate.fr
Bordeaux : ils lancent un concept de bar-laverie qui met en avant les producteurs locaux
https://www.francetvinfo.fr/culture/musique/pop/ils-m-ont-litteralement-tuee-britney-spears-denonce-les-treize-annees-de-tutelle-de-sa-famille_5331724.html#xtor=CS2-765-[autres]-
https://www.francetvinfo.fr/monde/europe/la-grande-bretagne-et-l-ue/royaume-uni-face-aux-factures-d-electricite-qui-explosent-les-britanniques-ne-savent-plus-quoi-faire_5330689.html#xtor=CS2-765-[autres]-
Toumaï, le plus ancien représentant connu de l’humanité, marchait bien sur deux pieds il y a sept millions d’années
(6) Audio Bullys ft Nancy Sinatra - Shot Me Down (Dance Version) - YouTube
Appareil Philips pour l'apnée du sommeil : scandale sur un risque de cancer
https://www.francetvinfo.fr/france/auvergne-rhone-alpes/loire/loire-attaque-de-frelons-sur-descyclistes-une-cinquantaine-de-piqure-pour-certaines-victimes_5320510.html#xtor=CS2-765-[autres]-
Olivier Rousteing — Wikipédia
Dans un atelier londonien, des globes terrestres à la conquête du monde - Challenges
Bible Prophecy, Evolution and the End of times
https://www.francetvinfo.fr/sciences/astronomie/la-theorie-de-l-eau-venue-sur-terre-via-des-asteroides-renforcee-par-une-etude-japonaise_5311084.html#xtor=CS2-765-[autres]-
Des astronomes précisent l'avenir du Soleil et sa fin
Premier « embryon synthétique » au monde : une prouesse riche en promesses… et en questions
Une IA remplacera-t-elle bientôt votre psychiatre ?
Ces galaxies jettent le doute sur le modèle standard cosmologique
Les ufologues sont certains que Valiant Thor était un invité de Vénus. Témoignages
La voie de l'épée: La boum
Les observations de James-Webb réfutent-elles la théorie de la matière noire au profit de Mond ?
https://www.francetvinfo.fr/societe/lgbt/temoignage-on-vivait-caches-comme-des-rats-40-ans-apres-la-depenalisation-de-l-homosexualite-un-ancien-condamne-raconte_5291554.html#xtor=CS2-765-[autres]-
https://www.francetvinfo.fr/societe/lgbt/lutte-contre-l-homophobie-un-ambassadeur-aux-droits-lgbt-sera-nomme-avant-la-fin-de-l-annee-annonce-elisabeth-borne_5292874.html#xtor=CS2-765-[autres]-
Travel Time Map | Drive Time Radius & Other Modes
https://youtu.be/Kayuo2osoM0
L'ordinateur quantique de QCI résout un problème à 3854 variables de BMW en 6 minutes
Vives tensions à la frontière entre la Serbie et le Kosovo, l’Otan se dit prête à intervenir - Le Parisien
https://youtu.be/2u3153g40pY
Faits divers - Justice | Paris : il obtient des informations confidentielles en se présentant comme policier | La Provence
La Nasa veut utiliser le Soleil pour voir la surface des exoplanètes !
La trouchia, l'omelette idéale pour le pique-nique - Les recettes de François-Régis Gaudry - YouTube
Origine de la pandémie COVID-19 : une étude incrimine le marché de Huanan - Quoi dans mon assiette
Sentience, es-tu là ? IA fais-moi peur
Valeurs (sociologie) — Wikipédia
We have good and bad news about that video of the robot dog firing a gun - The Verge
https://youtu.be/DhjZkY3J-_w
https://www.francetvinfo.fr/monde/environnement/biodiversite/science-les-guepes-sont-capables-de-realiser-des-choix-abstraits_5273803.html#xtor=CS2-765-[autres]-
https://youtu.be/5SmWUMJRIDo
MARYAM MIRZAKHANI : L'ÉTOILE FILANTE DES MATHÉMATIQUES #CMH10 - YouTube
Roger part en date - Roger et ses humains - YouTube
(8) l'alcool c'est pas cool - YouTube
Des geckos à Bordeaux Métropole | Bordeaux Métropole | Actualités en Aquitaine
Les soins psychiatriques sans consentement : quels enjeux en France ?
https://youtu.be/F1dC3gaXxmk
Finding the quest item too soon - Pre-Finished - YouTube
Explications sur l’hélicoptère qui a frôlé le crash en Bretagne - YouTube
Comment peut basculer une démocratie ? - YouTube
Google a-t-il développé une IA consciente ?
Bande-annonce Le Seigneur des Anneaux : Galadriel annonce le retour du Mal dans les nouvelles images des Anneaux de Pouvoir - News Séries à la TV - AlloCiné
Provocations racistes et bataille de rue dans le quartier Saint-Michel à Bordeaux
L'Intelligence Artificielle fait parler les morts 💀! - YouTube
Usbek & Rica - Matrix, le protocole décentralisé made in France qui cartonne en Ukraine
https://www.francetvinfo.fr/economie/emploi/metiers/agriculture/vrai-ou-fake-l-agriculture-biologique-est-elle-responsable-de-la-crise-au-sri-lanka_5251963.html#xtor=CS2-765-[autres]-
Incendie géant en Gironde : 1 300 hectares brûlés et 6 000 campeurs évacués, le feu toujours pas maîtrisé - midilibre.fr
Le Bulldog Continental : Race de chien ! - YouTube
Kirghizistan : Il croient être en sécurité en filmant une avalanche et finissent par se faire emporter - lindependant.fr
Le kill switch : l’arme anti-perquisition d’Uber
(2) Le déménagement - Roger et ses humains - YouTube
Minimal Surfaces—The Shapes That Help Us Understand Black Holes - YouTube
1894 war dieser deutsche Apfelkuchen der beste der Welt. Jetzt backt niemand solche Kuchen - YouTube
The Polish Language (Is this real?!) - YouTube
Piquée plus de 200 fois par des moustiques dans le Gard, Manon a fini en arrêt de travail - midilibre.fr
Perquisition à Mediapart : la justice condamne l’État dans l’affaire Benalla - YouTube
Chimborazo (volcan) — Wikipédia
Pourquoi cette zone tue différemment ? (Grands sommets) - YouTube
Logement : une Bordelaise lance une appli qui aide les personnes sans garant à trouver une location
Le débat : Sobriété, la nouvelle donne économique - YouTube
Great Depression Cooking - Depression Breakfast - YouTube
L'historique de navigation web et les SMS ont été utilisés pour poursuivre des femmes pour avortement, Google supprimera l'historique de localisation indiquant des visites à des cliniques d'avortement
Forvo: the pronunciation dictionary. All the words in the world pronounced by native speakers
« J’ai mis des piques sur mon fauteuil pour ne plus qu’on me déplace sans mon consentement » | StreetPress
I Have Monkeypox: My Symptoms & Experiences So Far
Antoine CAPPE de BAILLON : généalogie par Eric VANGHELUWE (evg5456) - Geneanet
"Jacques" François de FEBVIN : généalogie par Eric VANGHELUWE (evg5456) - Geneanet
https://youtu.be/lTO5vhRFCv0
Enfant mort après avoir été percuté par une trottinette à Nice: ce que l'on sait - Nice-Matin
https://www.francetvinfo.fr/monde/royaume-uni/royaume-uni-le-gouvernement-de-boris-johnson-secoue-par-un-nouveau-scandale-sexuel_5231146.html#xtor=CS2-765-[autres]-
@DirtyBiology - Léo Grasset innocent ?? - YouTube
Il FABRIQUE SON TOY BATMAN SEUL ! #CULTURE Z - YouTube
https://www.francetvinfo.fr/monde/environnement/crise-climatique/etats-unis-la-cour-supreme-limite-les-moyens-de-l-etat-federal-de-lutter-contre-le-rechauffement-climatique_5229094.html#xtor=CS2-765-[autres]-
Amazon Tall Tower Observatory — Wikipédia
https://youtu.be/KFjdBAGTqnA
https://youtu.be/5rV1sucWOlY
https://youtu.be/fhdhg8GCKFU
The slowest escort quest there is - Escort - YouTube
Suicide Quad / Sans Aucun Proute - Les Kassos #86 - YouTube
https://www.francetvinfo.fr/sante/hopital/temps-de-travail-des-medecins-le-conseil-d-etat-rappelle-a-l-ordre-les-hopitaux_5215957.html#xtor=CS2-765-[autres]-
Sans DeC : « 1/2 et après je vais vomir #syndicat #police #Dar… » - Framapiaf
Here's How To Install Windows 11 Without An Internet Connection
There's No Such Thing as a Hypoallergenic Cat | Science| Smithsonian Magazine
Législatives : «Je veux faire le ménage» à l’Assemblée, lance la femme de chambre Rachel Kéké, tombeuse de Roxana Maracineanu - Le Parisien
https://youtu.be/zXTpASSd9xE
Burning my eyeballs again - YouTube
Comparaison des tailles et des puissances des étoiles - YouTube
https://www.francetvinfo.fr/sante/psycho-bien-etre/sante-mentale/reportage-en-belgique-la-sante-mentale-se-soigne-davantage-a-domicile-pour-comprendre-d-ou-vient-la-crise_4960782.html#xtor=CS2-765-[autres]-
This is one of the weirdest reactions I've ever seen - YouTube
Cette ANOMALIE GRAVITATIONNELLE attire des MILLIERS de GALAXIES ! (Le grand Attracteur) - YouTube
RuPaul Reacts to Family History in Finding Your Roots | Ancestry - YouTube
Gaia : le catalogue galactique nouveau est arrivé | CNRS Le journal
https://www.francetvinfo.fr/culture/series/kate-bush-nirvana-al-green-quand-la-fiction-donne-une-seconde-jeunesse-a-des-chansons-parfois-oubliees_5193175.html#xtor=CS2-765-[autres]-
https://www.francetvinfo.fr/sciences/astronomie/espace-le-satellite-gaia-devoile-une-cartographie-de-la-voie-lactee-la-plus-precise-jamais-realisee_5195353.html#xtor=CS2-765-[autres]-
L'UNIVERS IMPRESSIONNANT -COMPARAISON DES TAILLES - PLANÈTES, ÉTOILES, NÉBULES, GALAXYS, TROUS NOIRS - YouTube
Żyj sobie sam Zdzisława Sośnicka - YouTube
Brève | Une micrométéorite a percuté le télescope spatial James Webb
Gastronomie : pan bagnat, le mythique sandwich niçois ! - YouTube
Une vache nommée Bernard - YouTube
https://www.francetvinfo.fr/monde/environnement/biodiversite/oceans-en-amerique-du-sud-une-autoroute-sous-marine-pour-proteger-les-couloirs-de-circulation-de-poissons_5185606.html#xtor=CS2-765-[autres]-
La Finale du Concours de MOF 2019 - YouTube
Histoire linguistique et génétique de l'Afrique subsaharienne - YouTube
https://youtu.be/hp-D-488Yxk
Des restes de roches continentales archéennes retrouvées au beau milieu de l’océan Indien !
(4) Orbit: You'll Never See It Coming (Last Surprise Edition) - YouTube
(4) PETTING a Sleeping WILD FOX!! | #shorts - YouTube
Poutine aurait été traité pour un cancer en avril, selon un rapport américain - Le Point
MESSAGE CACHÉ dans le château ambulant - L'Analyse - YouTube
Quel climat en Europe pour 2050 ? - YouTube
Planche Neige / Batman le déni - Les Kassos #83 - YouTube
Ce que les arts disent des âges de la vie (et réciproquement) | CNRS Le journal
Cinq conseils pour obtenir une réponse à votre réclamation client sur Twitter
Stormtroopers, but They're ACCURATE - YouTube
Poulpe envoie la sauce un peu trop - La Chronique de Monsieur Poulpe - YouTube
Discussions sur le déverminage de Windows
Le scandale néerlandais est un avertissement pour l'Europe sur les risques liés à l'utilisation des algorithmes, l'administration fiscale a ruiné des milliers de vies avec un algorithme
Bretons, Auvergnats, Italiens, Espagnols, Arabes et Roms: dehors les étrangers qui nous volent notre travail! - Debunkers
Pourquoi les couleurs ont disparu au cinéma ? - YouTube
Artisanat : David, l'un des derniers maçons du bâti ancien - YouTube
Syndrome des cheveux incoiffables — Wikipédia
Nobody | The Bus Fight in 4K HDR - YouTube
(2) Découverte archéologique : l'architecture inconnue de Doukki Gel - YouTube
Inside a Seven Floor $95,000,000 PARIS Mansion With an Underground Pool - YouTube
AMI DES LOBBIES #20 - FatalEnergies en Afrique : EACOP - YouTube
Artisanat : Simon, le bardelier amoureux du bois ! - YouTube
Les miroirs de l’espace | CNRS Le journal
Pyrénées françaises : un cocktail toxique « impressionnant » détecté dans les lacs de montagne
Mon empreinte climat - Nos Gestes Climat
Homophobie -Que faire si vous êtes témoin ou victime d'actes anti-LGBT+ ? | service-public.fr
CONFIDENCES ENTRE MECS avec @Bastos, Omar Mebrouk et Cyril Benzaquen - YouTube
Une Nouvelle Ère | L'odyssée de l'écriture (3/3) | ARTE - YouTube
L'Empreinte des civilisations | L'odyssée de l'écriture (2/3) | ARTE - YouTube
Les Origines | L'odyssée de l'écriture (1/3) | ARTE - YouTube
La théorie des cordes est-elle falsifiable ? Aurélien Barrau - YouTube
La foule peut-elle s'organiser SANS CHEF ? - YouTube
Le Crime de Haine de Balthazar Picsou - YouTube
Elle part du restaurant sans payer avec ses 4 enfants : 10 ans plus tard, le gérant reçoit une lettre
(1) SOUMISSION CHIMIQUE : COMMENT RÉAGIR ? - YouTube
Anakin learns about Force Healing - YouTube
À quoi ressemblaient les chiens à la préhistoire ?
Spectre de l’autisme : quand il est plus facile de lire les émotions chez les animaux que chez les humains
Le Dogue de Majorque : Race de chien ! - YouTube
3.2 Les premières productions percussion directe dure - Faire parler les pierres taillées. - YouTube
L'avait qu'à bien travailler à l'école | Grise Bouille
https://www.francetvinfo.fr/meteo/secheresse/meteo-visualisez-en-deux-graphiques-pourquoi-ce-mois-de-mai-risque-d-etre-le-plus-chaud-jamais-observe-dans-l-hexagone_5141602.html#xtor=CS2-765-[autres]-
(2) Tokyo walk from day to rainy night - Higashi-Ikebukuro, Mejiro, Ikebukuro・4K HDR - YouTube
Gratuits et open source : 16 logiciels indispensables pour la photo et la vidéo - Les Numériques
Pourquoi des clients Fnac Darty se retrouvent-ils abonnés de force à Canal+ ? - Les Numériques
https://www.francetvinfo.fr/monde/europe/manifestations-en-ukraine/video-guerre-en-ukraine-des-soldats-russes-filmes-en-train-d-abattre-des-civils-desarmes_5134240.html#xtor=CS2-765-[autres]-
"Mourir de chaud" : la température fatale à l'Homme atteinte en Inde et au Pakistan ces derniers jours - midilibre.fr
Quelle est cette intrigante « porte » photographiée sur la planète Mars ? - Monde - Le Télégramme
L’illusion perdue des régimes amaigrissants
https://youtu.be/bAvjtB_4kqQ
https://www.francetvinfo.fr/monde/europe/migrants/video-c-est-comme-les-hamecons-pour-la-peche-la-pointe-rentre-dans-la-peau-mais-ne-ressort-pas-ces-barbeles-agressifs-qui-equipent-de-plus-en-plus-de-frontieres_5133649.html#xtor=CS2-765-[autres]-
Explorer les grands fonds marins grâce à l’ADN environnemental, ou comment révéler une biodiversité insoupçonnée
Baromètre hebdomadaire S18 : Législatives 2022 - Cluster17
Covid-19 : la pandémie a causé la mort « de 13,3 millions à 16,6 millions » de personnes jusqu’à la la fin de l’année 2021, reconnaît l’OMS
https://youtu.be/w3KL6CNbBnk
Canicule en Inde : les températures supportables par l'Homme sont-elles en train d'être dépassées ? - Geo.fr
Contaminations E.coli dans des pizzas Buitoni : une troisième gamme de la marque mise en cause - midilibre.fr
Écoutez le « hurlement » d’un trou noir !
A Tortoise that Hates Shoes - YouTube
Caproni Ca.60 — Wikipédia
(1) Magic Door Prank - YouTube
Deux dauphins entraînés par l’armée russe aperçus en mer Noire - Le Point
How to make anhydrous ethanol (100% alcohol) - YouTube
120 secondes = 1 minute 20 - YouTube
Identifying the wide diversity of extraterrestrial purine and pyrimidine nucleobases in carbonaceous meteorites | Nature Communications
(3) Teaser Saison d'été 2 | Le Vortex | ARTE - YouTube
L'Assemblée générale de l'ONU adopte une obligation de justifier tout recours au veto
Caves Of Qud - Early Access Trailer - YouTube
Nutella : alerte salmonelle ? - Désintox - 28 Minutes (25/04/2022) - Regarder l’émission complète | ARTE
Jean-Marc Jancovici sur le climat : "Il nous faut absolument inverser le raisonnement" - L'Express L'Expansion
Hypérion - Découverte d'un géant cosmique dans l'univers primitif ! DNDE#80 - YouTube
On a fait barraaaaaaage - Le Moment Meurice - YouTube
Le M😷n😷lecte 🤬🐧 : "Les vieux sont-ils tous des sales cons https://ww…" - Framapiaf
Pâtes Nucléaires : Le matériau le plus dur de l'univers ! DNDE #76 - YouTube
FLOOD!%#@
Un Bon Moment avec MONSIEUR POULPE & DAVY MOURIER - YouTube
What Did Neanderthals Evolve From? | Discover Magazine
De nouvelles structures identifiées au sein de nos chromosomes
Principe de Peter — Wikipédia
Nantes Révoltée - LA QUASI-TOTALITÉ DES GENDARMES VOTE POUR L'EXTRÊME DROITE
[UKRAINE] A-t-on surestimé l'armée russe: focus bombardements, supériorité et défense aérienne - YouTube
Olympic Cyclist Vs. Toaster: Can He Power It? - YouTube
On vient de découvrir les micronovae ! | CNRS Le journal
New Revelations Raise Pressure on NASA to Rename the James Webb Space Telescope - Scientific American
La vie sur Terre était déjà diversifiée il y a plus de 3,7 milliards d'années !
Marine Le Pen au pouvoir : le danger se précise | Mediapart
I'm That Guy - YouTube
(8) HOW DO THEY ADD UP? THE INTERACTION BETWEEN THE PLACEBO AND TREATMENT EFFECT: A SYSTEMATIC REVIEW | Request PDF
Elle écope d'une amende de 100 euros après avoir laissé sonner son réveil pendant deux jours - lindependant.fr
https://www.francetvinfo.fr/sante/psycho-bien-etre/sante-mentale/reportage-sante-mentale-et-precarite-un-cercle-vicieux-des-soignants-vont-a-la-rencontre-de-personnes-marginalisees-souffrant-de-troubles-psychologiques_5034966.html#xtor=CS2-765-[autres]-
« Deadwood », une série qui nous enseigne l’éthique du « care »
‘Jack Dorsey’s First Tweet’ NFT Went on Sale for $48M. It Ended With a Top Bid of Just $280
Why You NEED an Overengineered Japanese Mechanical Pencil! ✍🏼🤔 - YouTube
The Most Epic Space Battles Scenes {4K} Epic Space Cinematic fight Scenes - YouTube
Elon Musk propose de racheter Twitter pour 43 milliards de dollars | Les Echos
Mes parties contre la foule - YouTube
DakhaBrakha - Full Performance (Live on KEXP) - YouTube
Fry's Bank Interest - YouTube
Lille : la reine des citadelles - YouTube
Bande-annonce Stranger Things 4 sur Netflix : une Eleven plus puissante que jamais ! - News Séries - AlloCiné
Les USA ont caché l'explosion d'un objet interstellaire au-dessus de nous en 2014
(3) [UKRAINE / RUSSIE] Victoire de Kiev dans le Nord et "objectif Donbass" - POINT DE SITUATION - YouTube
Guerre en Ukraine : "Arrête de macroner !", quelle est cette expression devenue courante dans le langage ukrainien ? - lindependant.fr
Guerre des pixels sur Reddit : que se passe-t-il avec les streameurs français et /r/Place ? - Numerama
(1) r/Place 2022 Timelapse 8K - YouTube
Scrat No Time For Nuts - YouTube
Insolite : le sosie de Zelensky a réussi à fuir l'Ukraine grâce... au clone de Vladimir Poutine - ladepeche.fr
La physique connue est remise en cause par la masse du boson W !
https://www.francetvinfo.fr/societe/video-une-pedopsychiatre-condamnee-par-l-ordre-des-medecins-apres-avoir-fait-un-signalement_5070262.html#xtor=CS2-765-[autres]-
Exportations de blé : quels sont les pays qui alimentent le monde ?
Poutou 2022 - Le Moment Meurice - YouTube
"Pixel War" : on vous explique la bataille qui se joue sur le réseau social Reddit pour dessiner un drapeau français sur une toile collective
Thomas Guiraud ✨ 🦄 ✨ My soft-skills by AssessFirst
Le vaccin anti covid transforme les gens en plastique - YouTube
Pourquoi notre système de vote est nul (et le moyen le plus simple de l'améliorer) - YouTube
Regardez "SE RÉVOLTER FACE AUX CRIMES DU CAPITALISME" sur YouTube
https://www.francetvinfo.fr/elections/presidentielle/pixel-war-on-vous-explique-la-bataille-qui-se-joue-sur-le-reseau-social-reddit-pour-dessiner-un-drapeau-francais-sur-une-toile-collective_5061754.html#xtor=CS2-765-[autres]-
Les bases: C'EST QUOI ETRE DE GAUCHE ? - Frédéric Lordon - YouTube
L'Empire khazar et les origines du peuple juif I Passé sauvage - YouTube
Mais où sont passées les couleurs de Van Gogh ? | Gymnastique, la culture en s'amusant | ARTE - YouTube
Pourquoi l'Afrique du Sud reste ultra inégalitaire (Mappemonde Ep. 6) - YouTube
Benefits of LAMA in patients with asthma-COPD overlap: A systematic review and meta-analysis - ScienceDirect
‘Folded man’ stands up straight after 28 years following surgery that broke bones - YouTube
Déménagement sur Bordeaux : les organismes à contacter | Bordeaux Métropole | Actualités en Aquitaine
Horses Can Read Human Emotions! - YouTube
Saint-Marin se dote d'un chef d'Etat gay, une «première mondiale»
Ukraine : le chef du renseignement militaire français remercié
Mixing sodium and potassium is crazy - YouTube
Lordon, Mélenchon et la révolution - YouTube
Dépasser le capitalisme en crise avec Frédéric Lordon - YouTube
Le concassé de tomates des consommateurs ! - « C'est qui le Patron ?! »
Hubble bat tous les records de l’étoile la plus lointaine jamais observée
E.coli dans les pizzas Buitoni : vers sur les tapis, mégots dans les bacs... le récit glaçant d'un ancien employé - midilibre.fr
Histoire génétique de la France - YouTube
Images de sciences : le cri des bryozoaires
Événement de suppression du mercure atmosphérique — Wikipédia
Arrêtons de dire « fausse couche », et 8 autres mesures concrètes à adopter d’urgence - Madmoizelle
EXCLUSIF. Crise climatique : on a épluché les programmes des candidats à la présidentielle pour voir s'ils respectent l'accord de Paris
C dans l'sol - Comment stocker le carbone dans le sol? - YouTube
Allan Barte : « Un petit point sur le #McKinseyGate 💸 #McKinsey #… » - Mastodon
Les immigrés menacent-ils vraiment les finances publiques ?
La Crise en Ukraine est-elle l'Arnaque du Siècle ? - YouTube
[UKRAINE / RUSSIE] Après un mois de guerre, l’Ukraine à l'offensive - analyse de la situation - YouTube
Le progrès des sciences nous condamne-t-il à l'apocalypse ? ⚛️ - YouTube
Pourquoi s’opposer à la création de Mon Espace Santé ? – La Quadrature du Net
Recette de la mousse au chocolat onctueuse, facile et rapide - YouTube
Google récupère vos SMS sans prévenir et de manière illégale
Meloruby : "Ils étaient à ça 🤏 de l'avoir" - Eldritch Café
6 assos LGBT portent plainte contre Zemmour pour négationnisme
Dans le Finistère, les gérants d’une épicerie-restaurant victimes d’actes homophobes
Origin and mobility of Iron Age Gaulish groups in present-day France revealed through archaeogenomics - ScienceDirect
NASA’s Webb Reaches Alignment Milestone, Optics Working Successfully - YouTube
Papaoutai, Fils de Joie, Formidable… Stromae révèle les secrets de tournage de ses clips. - YouTube
Les origines du sweat à capuche - YouTube
Ces Jeux qui m'ont marqué : FALLOUT - YouTube
L’invasion des vers plats est loin d’être terminée
https://www.francetvinfo.fr/monde/europe/manifestations-en-ukraine/guerre-en-ukraine-deux-journalistes-d-associated-press-les-derniers-presents-a-marioupol-racontent-leur-fuite-de-la-ville-assiegee_5032851.html#xtor=CS2-765-[autres]-
https://www.francetvinfo.fr/culture/patrimoine/archeologie/egypte-cinq-tombes-pharaoniques-devoilees-a-saqqara-dans-la-necropole-de-memphis_5029876.html#xtor=CS2-765-[autres]-
Seul sur sa pyramide du pouvoir, Poutine est fichu
franceinfo
https://www.francetvinfo.fr/sante/psycho-bien-etre/sante-mentale/temoignages-pourquoi-la-psychiatrie-attire-moins-les-etudiants-en-medecine_5000574.html#xtor=CS2-765-[autres]-
Probability Comparison: Rarest Substances on Earth - YouTube
Comment le Sahara nourrit l'Amazonie - Sciences et Avenir
Ce prédateur microscopique raffole du CO2
(3) Le blé : un enjeu de food power - Le dessous des cartes | ARTE - YouTube
« J’ai compris que j’étais pauvre en arrivant au lycée Henri-IV »
How Duolingo Is Responding to Crisis In Ukraine
Guerre en Ukraine, Francis Huster et transmission des gènes - Le Journal de 17h17 - YouTube
Tintin : Pourquoi il nous censure ? - YouTube
Omphalotus nidiformis de Orford TAS 7190, Australia le 8 mai 2021 à 06:47 PM par Adam · iNaturalist
The Conversation France lance son application mobile !
« Le pouvoir de Poutine s’exerce à travers un réseau d’emprises sur la société » | CNRS Le journal
A new low for global democracy | The Economist
400m de haut : les incroyables éoliennes de Deventer 🌷 - YouTube
Boire deux bières par jour ferait vieillir votre cerveau de dix ans | Slate.fr
Why We Kill So Many Houseplants, But Spend Billions On Them Anyway | Big Business - YouTube
L’enjeu sociétal de la ghettoïsation sexuelle des grandes entreprises
Ukraine VS Russie - La Fin du Monde est-elle Proche ? - YouTube
The Failed Logistics of Russia's Invasion of Ukraine - YouTube
Près de six mille éoliennes allemandes sérieusement affectées par une cyberattaque russe - Transitions & Energies
Guerre en Ukraine : «On aura une immigration de grande qualité dont on pourra tirer profit»
L'arbre généalogique de l'humanité en une grande carte qui montre comment nous sommes tous liés
null
Un milieu naturel unique en danger : les lagunes des Landes de Gascogne - YouTube
FAIS ÇA TOUS LES JOURS ( 50 sec ) pour te tenir DROIT - YouTube
LittleAlex : "Not hidden behind CW because everybody should fac…" - chaos.social
Pourquoi l'humanité est de plus en plus obèse (l'alimentation ne fait pas tout) - YouTube
Sheepskin Jacket Made by Leather Craftsman with 40 Years of History - YouTube
Les hackers d'Anonymous ont lancé une "cyberguerre" contre la Russie - Capital.fr
Virginie Despentes | Tout est vrai (ou presque) | ARTE - YouTube
La Russie attaque l’Ukraine - Le Dessous des Cartes | ARTE - YouTube
I Tumbled Rocks Nonstop for One Year! - YouTube
Guerre en Ukraine, migrants de qualité et activité d'un cerveau mort - Le Journal de 17h17 - YouTube
How Vegan Leather Is Made From Mangoes | World Wide Waste - YouTube
C'Est Merveilleux – Dame Piaf Reprise – La Chanteuse Introvertie - YouTube
Shyle : « Basketpunk 🏀 On se fait une petite partie ? (spoi… » - Mastodon
Et si l'hôpital était géré par ses salariés ?
Présidentielle 2022 : qui paie le plus d'impôts, les riches ou les pauvres ? - YouTube
Un rapport de l'Agence du médicament accable l'IHU de Marseille et Didier Raoult
Harcèlement dans les transports : "demandez Angela" arrive Bordeaux
La Relève et La Peste
https://www.francetvinfo.fr/replay-radio/c-est-ma-sante/mieux-prendre-en-charge-le-syndrome-des-jambes-sans-repos_4943490.html#xtor=CS2-765-[autres]-
World's Toughest Hiking Boots - 100% HAND Made. Korean Amazing shoemakers. - YouTube
Pain au chocolat ou chocolatine ? Un habitant de Mimizan prend 4 mois de prison
« Pourquoi Aloy a de la barbe ? » : Horizon Forbidden West lui apprend que les femmes ont du duvet - Madmoizelle
France Inter : Charline Vanhoenacker de retour après plus de trois semaines d’absence - Le Parisien
Baromètre hebdomadaire S06 : Présidentielle 2022 - Cluster17
95% des Français ont un niveau d'activité physique insuffisant
On en sait plus sur l'origine de la schizophrénie
Giuni Russo - Una vipera sarò - YouTube
Fedez, Achille Lauro, Orietta Berti - MILLE (Official Video) - YouTube
Découverte des plus anciens hommes modernes en Europe (et ce que cela change de ce que l'on pensait de ses relations avec Néandertal)
https://www.francetvinfo.fr/elections/presidentielle/primaire-populaire-gauche/presidentielle-l-equipe-de-yannick-jadot-a-propose-d-offrir-150-000-euros-a-la-primaire-populaire-mais-dement-avoir-voulu-arreter-son-deroulement_4959408.html#xtor=CS2-765-[autres]-
https://www.francetvinfo.fr/monde/usa/joe-biden/ukraine-c-est-un-coup-de-bluff-bilateral-entre-la-russie-et-les-etats-unis-qui-alertent-sur-une-invasion-russe-imminente-du-pays-estime-un-specialiste_4957590.html#xtor=CS2-765-[autres]-
Agriculture et biodiversité : c'est possible ? - YouTube
Le Gorafi.fr Gorafi News Network
Invité : Jean-Marc Jancovici, l’homme qui veut transformer l’économie pour sauver la planète - Quotidien | TMC
Wood turning - The Tools Killers - YouTube
La disparition de la mer Méditerranée - YouTube
Flashmob Carmina Burana - YouTube
Comment manger sainement pour ajouter 10 ans à son espérance de vie et se sentir mieux ? Voilà les top aliments !
Régime « paléo » : lubie du mangeur moderne désorienté ou vraie bonne idée ?
Au Brésil, le numéro 24 est hors jeu... et c'est un signal homophobe
Des dizaines de satellites de SpaceX détruits à cause d'un orage magnétique - 09/02/2022 à 21:12 - Boursorama
Découverte d'un trou noir à la dérive dans la Voie lactée
https://www.francetvinfo.fr/monde/environnement/biodiversite/une-decouverte-scientifique-ouvre-la-voie-a-un-piege-contre-les-frelons-asiatiques_4950438.html#xtor=CS2-765-[autres]-
Khrys’presso du lundi 7 février 2022 – Framablog
« Promis, on paiera nos impôts en France »… Amazon se fait prendre à son propre jeu sur Instagram
null
The Internationale Baby - Vidéo Dailymotion
Scandale des Ehpad : les sept plaies qui s’abattent sur le groupe Orpea
https://www.francetvinfo.fr/animaux/bien-etre-animal/biodiversite-quatre-questions-sur-les-milliers-de-poissons-morts-decouverts-au-large-de-la-rochelle_4942467.html#xtor=CS2-765-[autres]-
La start-up nation et la burn-out nation - La chronique de Thomas VDB - YouTube
https://www.francetvinfo.fr/politique/affaire/affaire-balkany/le-placement-sous-bracelet-electronique-des-epoux-balkany-revoque-par-la-cour-d-appel-de-rouen-ouvrant-la-voie-a-leur-incarceration_4940469.html#xtor=CS2-765-[autres]-
Visualizing Carbon Storage in Earth's Ecosystems
Un nouveau souffle pour la place Stalingrad | Bordeaux
Arabes, Berbères, Éthiopiens: tous cousins! - YouTube
Pourquoi les cancers du poumon deviennent plus fréquents chez les femmes et les non-fumeurs ?
L’enjeu numéro un c’est la biodiversité, et non le changement climatique - Vivant le Média
The Opposite of Rockhounding - YouTube
This gem is actually a fossil (ammolite) - YouTube
Mission en Antarctique : départ vers une société inconnue
La "Grande Sécu", ou comment adapter notre système de protection sociale
Exclusivité : C’est qui le Patron reprend le Pôle Viandes Locales
https://www.francetvinfo.fr/sante/maladie/coronavirus/a-cause-de-la-crise-sanitaire-les-demandes-d-hospitalisation-en-psychiatrie-chez-les-adolescents-explosent_4931613.html#xtor=CS2-765-[autres]-
« Il n’y a rien de connu dans le ciel qui fasse ça ! » Un objet exceptionnel découvert dans la Voie lactée
Des chercheurs séquencent le génome humain à une vitesse record
https://www.francetvinfo.fr/societe/prisons/video-un-lanceur-d-alerte-revele-un-systeme-de-torture-dans-les-prisons-russes_4928503.html#xtor=CS2-765-[autres]-
https://www.francetvinfo.fr/monde/environnement/biodiversite/biodiversite-lensemble-des-insectes-de-forets-pyreneennes-recense-grace-a-leur-adn_4931453.html#xtor=CS2-765-[autres]-
https://www.francetvinfo.fr/politique/ps/primaire-a-gauche/primaire-populaire-un-politologue-predit-une-situation-plus-complexe-qu-elle-ne-l-etait-au-depart-apres-les-resultats_4931301.html#xtor=CS2-765-[autres]-
null
francetvinfo : voici un message extrait de "L'actu en continu"
Recyclage : comment trier en 2022 ? - YouTube
Ce projet compte séquencer le génome de toutes les espèces de la Terre - Numerama
https://www.francetvinfo.fr/societe/harcelement-sexuel/montpellier-le-fondateur-de-l-association-du-refuge-en-garde-a-vue-suspecte-notamment-d-agression-sexuelle_4923763.html#xtor=CS2-765-[autres]-
À quelle famille politique appartenez-vous ? Faites le test
L’Odeur | bouletcorp
Vanitas Vanitatum | bouletcorp
https://www.francetvinfo.fr/societe/nucleaire/electricite-l-agence-de-surete-nucleaire-alerte-sur-une-double-fragilite-inedite-de-la-filiere-francaise_4922465.html#xtor=CS2-765-[autres]-
Micro-organismes “efficaces” : entre marketing et pseudo-science | Dur à Avaler
https://www.francetvinfo.fr/faits-divers/porte-disparu-apres-s-etre-endormi-dans-un-container-a-ordures-a-toulouse-en-2019-un-etudiant-a-ete-declare-mort_4920937.html#xtor=CS2-765-[autres]-
https://www.francetvinfo.fr/sante/maladie/des-chercheurs-identifient-le-virus-a-l-origine-de-la-sclerose-en-plaques_4917833.html#xtor=CS2-765-[autres]-
Most insane ski line EVER - YouTube
Une gigantesque colonie de poissons découverte en Antarctique
https://www.francetvinfo.fr/monde/europe/manifestations-en-ukraine/les-etats-unis-accusent-la-russie-d-avoir-prepositionne-des-agents-en-ukraine-pour-creer-un-pretexte-pour-une-invasion_4916975.html#xtor=CS2-765-[autres]-
Élection présidentielle et législatives 2022 -Listes électorales 2022 : vérifiez en ligne si vous êtes bien inscrit | service-public.fr
https://www.francetvinfo.fr/societe/harcelement-sexuel/enquete-affaire-yannick-agnel-une-partie-de-lentourage-savait_4913997.html#xtor=CS2-765-[autres]-
Europol se fait épingler pour stockage illégal de données d'enquêtes de police - Numerama
https://www.francetvinfo.fr/economie/transports/sncf/trains-regionaux-la-region-hauts-de-france-championne-des-retards-ou-annulations_4874123.html#xtor=CS2-765-[autres]-
Trains retardés ou supprimés à cause du Covid-19 : l'exaspération des voyageurs de la ligne de TER Amiens - Paris
INFOGRAPHIES. Qui sont les candidats à l'élection présidentielle 2022 ? Consultez notre liste actualisée au fil de la campagne
MILK CRATE - YouTube
Efficacité des vaccins et du booster face à Omicron (infection, hospitalisation et transmission) - YouTube
L'alimentation bio et la santé (pesticides, contaminants...) : que disent les études scientifiques ? - YouTube
Comment réussir son « Dry January »
https://www.francetvinfo.fr/culture/liberee-de-sa-tutelle-la-chanteuse-britney-spears-n-a-pas-l-intention-de-revenir-sur-scene_4897449.html#xtor=CS2-765-[autres]-
Prise en charge à l'hôpital : pourquoi il faudra désormais payer un peu moins de 20 euros en quittant les urgences à partir du 1er janvier - lindependant.fr
Deployment Explorer Webb/NASA
Where Is Webb? NASA/Webb
Self organising steel balls explain metal heat treatment - YouTube
Pokémon Diamant/Perle : pour son premier combat, ce joueur a eu une chance incroyable (1/16 777 216)
Emmanuel Macron a-t-il fermé 17 600 lits d’hôpital en quatre ans, comme l’affirme François Ruffin ? – Libération
CONTRETEMPS - Animation Short Film 2021 - GOBELINS - YouTube
10 ÉNORMES clichés sur les armes historiques ! - YouTube
The Insane Engineering of James Webb Telescope - YouTube
Frankie : "" - Mastodon
The Problem with Solar Energy in Africa - YouTube
How To Cut Every Cheese | Method Mastery | Epicurious - YouTube
https://www.francetvinfo.fr/sciences/espace/video-telescope-james-webb-un-oeil-plus-pres-des-debuts-de-l-histoire-du-cosmos_4882329.html#xtor=CS2-765-[autres]-
https://www.francetvinfo.fr/sante/biologie-genetique/enquete-franceinfo-quand-des-tests-adn-jettent-le-trouble-sur-le-recours-de-gynecologues-a-leur-propre-sperme-pour-des-inseminations_4841117.html#xtor=CS2-765-[autres]-
https://www.francetvinfo.fr/monde/ameriques/presidentielle-au-chili/chili-quatre-choses-a-savoir-sur-gabriel-boric-le-candidat-de-gauche-elu-president_4887767.html#xtor=CS2-765-[autres]-
Cap sur l’hypothèse de Riemann | Voyages au pays des maths | ARTE - YouTube
LOUISE - Animation Short Film 2021 - GOBELINS - YouTube
Morning routine in the Coldest Village on Earth, Yakutia - YouTube
null
https://www.francetvinfo.fr/societe/harcelement-sexuel/violences-sexuelles-il-faut-changer-la-loi-pour-proteger-les-enfants-de-l-inceste-selon-me-president-sur-la-commission-independante-sur-l-inceste_4878649.html#xtor=CS2-765-[autres]-
https://www.francetvinfo.fr/culture/livres/la-romanciere-americaine-anne-rice-autrice-du-tres-celebre-entretien-avec-un-vampire-est-morte-a-80-ans_4878575.html#xtor=CS2-765-[autres]-
https://www.francetvinfo.fr/monde/chine/l-article-a-lire-sur-la-repression-des-ouighours-en-chine_4030991.html#xtor=CS2-765-[autres]-
5 Best (and Worst) Places to Build a Home or Village - YouTube
Non, la France ne se droitise pas - En toute subjectivité - YouTube
Matrix 4 : Neo et Trinity explosent tout dans la bande-annonce finale et époustouflante de Resurrections - Actus Ciné - AlloCiné
Jean-Pierre Morfin Cholat : "A dev watching a user test an application 🤦♀️" - Mastodon G3L
Riz au lait... parfait de Bruno Doucet ! Les recettes de François-Régis Gaudry - YouTube
Burnout in French General Practitioners: A Nationwide Prospective Study - PubMed
Levalet | Pulse Interview (11/15) | ARTE - YouTube
sebsauvage : "Le Gorafi a été racheté et va publier des article…" - Framapiaf
J'ai encore rêvé d'iel - La chanson de Frédéric Fromet - YouTube
CABADZI // CENT FOIS - YouTube
La messagerie par courriel - Delta Chat
Bolloré le philanthrope - La chronique d'Aymeric Lompret - YouTube
Dog of Wisdom - YouTube
Entre soft power et propagande, qui finance les vidéastes ? - YouTube
Cowboy Bebop (2021) - Série TV 2021 - AlloCiné
Vlog 11 - Tournant majeur pour la chaîne ? - YouTube
Le mystère Satoshi : enquête sur l'inventeur du bitcoin | ARTE - YouTube
Le théorème de Gödel | Voyages au pays des maths | ARTE - YouTube
1970 : Les ramasseurs d'obus | Archive INA - YouTube
大好きなブリーダーさんがきてくれました Great Pyrenees グレートピレニーズ - YouTube
Oh non Zemmour ! (la complainte de Marine Le Pen) - Les Goguettes (en trio mais à quatre) - YouTube
Mort de Mick Rock, photographe des stars du rock des années 1970
La formidable histoire de ce chien 🥲 - YouTube
Les algorithmes nous poussent-ils à écouter toujours le même style de musique ? | CNRS Le journal
L’Etat renonce à vendre le domaine de Grignon au promoteur Altarea Cogedim
Les règles de l'élégance masculine : l'étiquette selon Marc Guyot - YouTube
Y'en a marre !!! TOUT LE MONDE doit agir ! - YouTube
Dibi | Wiki Dirtybiologistan | Fandom
Victoire contre le CNOM - YouTube
Why Are There UPPER Case and lower Case Letters? - YouTube
The Legendary NYC A-Train Sax Battle (Super Cut) - YouTube
Agnes Obel - The Curse (Berlin Live Session) - YouTube
La Komida Manyana, from Sephardic Journey - APOLLO'S FIRE (2016 CD release concert) - 9/9 - YouTube
Monstres et Créatures - Navarro / ONBA - Festival Cine-Notes - Du jeudi 17 mars 2022 au vendredi 18 mars 2022 - Auditorium - 20220317 | Opéra National de Bordeaux
Décortiquer une carte a puce bancaire - YouTube
Une nouvelle carte des sols de France accessible à tous | INRAE INSTIT
Comprendre la Carte de Tendre en moins de 10 minutes (Résumé-analyse) - YouTube
Pourquoi la Chine demande à ses habitants de stocker la nourriture - L'Express
Cette chaîne Youtube est maintenant un pays indépendant (ou presque) - DBY #85 - YouTube
La cause de la progression de la maladie d'Alzheimer découverte
LA CHASSE AUX CANARDS - YouTube
Ain't Got No, I Got Life - Nina Simone - YouTube
Faire du yaourt: facile et sans yaourtière - YouTube
Une maladie sexuelle "mangeuse de chair" se propage et inquiète les autorités britanniques - midilibre.fr
A Snake Eating Itself - YouTube
Changement climatique : Total savait
HORROR Artist vs $2 DISNEY FROZEN Colouring Book - YouTube
Je crack l'algorithme Youtube - YouTube
null
Être une femme dans la Grèce antique : c’était comment ? (pô gégé...) I Passé sauvage X Pure - YouTube
Sable sur Steam
SCIENTIFICALLY ACCURATE ™: NINJA TURTLES - YouTube
Angery Boi hours - YouTube
Gueorgui Narbout — Wikipédia
(1) Le dilemme du prisonnier | Voyages au pays des maths | ARTE - YouTube
(1) We went to rescue one puppy, but we got attacked :) - YouTube
(3) Une maison où Alain Finkielkraut est académicienne est forcément une bonne maison! - YouTube
ADHD Study - YouTube
GROSSE BATAILLE AÉRIENNE - STAR CITIZEN - YouTube
L’âge moyen pour être parent serait de 26,9 ans depuis les 250.000 dernières années – Hommeni' Sciences
(11) PICASSO = GROSSE MERDE - YouTube
The entirety of Twitch has reportedly been leaked | VGC
Les frigo zéro gaspi, chaîne du froid solidaire à Bordeaux Métropole
Marais audomarois : près de 120.000 euros d'amendes et d'indemnités pour avoir creusé des mares de chasse
Les premiers américains ont au moins 23.000 ans – Hommeni' Sciences
The Freshest Authentic Hummus Ever! Made Live to Eat... - YouTube
Try aGame! sort définitivement gagnant de son procès contre Topi Games
https://www.francetvinfo.fr/sante/professions-medicales/sante-mentale-a-lille-un-service-de-soins-psychiatriques-novateur-soigne-les-patients-a-domicile_4787163.html#xtor=CS2-765-[autres]-
Suisse : le peuple dit largement "oui" au mariage pour tous - midilibre.fr
L’une des plus GRANDES BATAILLES du Jeu Vidéo | Icones - YouTube
La VICTOIRE du CAPITALISME ! Ft. Branko Milanović - YouTube
Noam Chomsky - On Being Truly Educated - YouTube
De quoi se compose exactement la « forêt urbaine » ?
Des élevages d'animaux pas très légaux🐰 - YouTube
null
Les nouvelles spiritualités : la FIN des religions ??? - YouTube
Les baguettes chinoises | Comment peut-on être Chinois ? Faire l'histoire | ARTE - YouTube
Shyle : "Bob." - Mastodon
« J’ai un ami hétéro » EXISTER À CONDITIONS – PD La Revue
SÉRIE. À la découverte du circuit de Grande Randonnée autour de Bordeaux
Activité physique : des bénéfices bien au-delà de la perte de poids
(1) L'antonomase - La Chronique linguiste de Laélia Veron - YouTube
Traiter le trouble du spectre de l’autisme grâce à la stimulation transcrânienne
Assassinat du président haïtien : le procureur demande l'inculpation du Premier ministre Ariel Henry
CETTE PLANTE PERMET DE VOIR SOUS L'EAU ! - YouTube
(1) RAMBO THE CHICKEN VS 100 FLIES - YouTube
Bordeaux : La Marche des Fiertés en images
Que contiennent vraiment les drogues consommées en festival ? | Reportage | Konbini - YouTube
franceinfo : ENQUETE. Camembert, roquefort, beurre… Comment Lactalis brouille les étiquettes de ses produits laitiers
[Exclusif] PornHub, Tukif, XNXX, xHamster, xVideos et YouPorn bientôt bloqués en France ?
Biais passéiste et tone policing : Suffragist ou Suffragette ? - YouTube
Inside of an F4 tornado (full version) - YouTube
Vaccins et biais de la victime IDENTIFIABLE - YouTube
null
François Molins : "Les plaintes Covid arrivent par milliers" | LCI
sebsauvage : "Pol fr" - Framapiaf
franceinfo : Un algorithme de Facebook confond des personnes noires avec des singes
GitHub - aappleby/MetroBoy: A repository of gate-level simulators and tools for the original Game Boy.
Chez les policiers, la tentation grandissante du vote RN
Location immobilière -Location d'un meublé : quelles sont les obligations du propriétaire ? | service-public.fr
:: bouletcorp ::
Musique | bouletcorp
No Pain no Gain | bouletcorp
Aïe Tech | bouletcorp
Neil deGrass Tyson, sur Facebook - Le Hollandais Volant
PSA: Universal Music Group Has Copyrighted The Moon. That is All. | Techdirt
La Chine va limiter les jeux en ligne à trois heures par semaine pour les mineurs
Le « Einweggrill », la « capote anglaise », le Mistral - Karambolage - ARTE - YouTube
Plus on est riche, et plus on triche ?
Est-ce que les chats nous aiment bien ? - 28 Minutes - ARTE - YouTube
« Socialisation primaire » : un mythe transphobe – Les guérillères
Le français québécois | HNLD Les Essais #4 (Avec l'Insolente linguiste) - YouTube
1987 : Un problème avec l'accent du Sud ? | Archive INA - YouTube
a2b0020848780734.jpeg (Image JPEG, 1639 × 999 pixels) - Redimensionnée (94%)
Bordeaux : Six immeubles évacués après un arrêté de péril imminent cours Victor Hugo
L'enfer du sport à l'école☠️(et l'humiliation durant le bac😭) - YouTube
Les cas de Covid augmentent en Israël malgré une forte couverture vaccinale… Qu’en penser ?
Taliban slaughters Afghan man to 'show what they do with gay people'
Audomarois : une nouvelle espèce d’oiseau, très rare en France, observée dans le marais
Fergus the Jack Russell having a great time at Crufts 2020! - YouTube
Hilarious Rescue dog Kratu steals the show (and a pole)! - YouTube
Être maman au Japon avec ma cousine 🇯🇵 (ça coûte cher !) - YouTube
franceinfo : ENQUÊTE. Comment le Compte personnel de formation est devenu la poule aux œufs d'or des escrocs
Plongée dans le monde perverti des Incels, masculinistes frustrés et haineux
Comment créer une mémoire éternelle des déchets nucléaires ? #ANDRA - YouTube
Jacques - YouTube
EN IMAGES. Un éboulement de falaise impressionnant à Cauville-sur-Mer
Les avantages insoupçonnés de dormir nu | Slate.fr
(1) Polygonal Damascus steel. - YouTube
La psychogénéalogie est-elle une pseudosicence ? - YouTube
MYTHOLOGICS #10 /// MAGIC THE GATHERING Feat Maxwell - YouTube
Sa famille anti-vax meurt du Covid-19 en une semaine, il dénonce la "propagande anti-vaccination" - midilibre.fr
La méditation gagne du terrain chez les jeunes
L’Anémone fraise, Actinia fragacea Tugwell - To Take Nature - La Nature sous toutes ses formes
franceinfo : Le médecin Jean-Paul Hamon reconnaît avoir délivré trois faux pass sanitaires, dénonçant une "administration défaillante'
franceinfo : Changement climatique : ce qu'il faut retenir du sixième rapport des experts du Giec publié aujourd'hui
null
franceinfo : JO 2021 : Japon-URSS, finale de volley 1964, quand les "sorcières de l'Orient" sont devenues "des gloires nationales"
franceinfo : JO 2021 : trop dénudé ou trop couvert, comment le corps des sportives doit constamment se plier aux injonctions sexistes
franceinfo : Une pétition pour recenser le nombre de policiers et gendarmes auteurs de violences contre les femmes
VERIFICATION. Covid-19 : on a passé au crible les arguments de Reinfo Covid
(1) Puppy isn't happy when waves fill up his newly dug hole - YouTube
(1) Quand notre soutien change leurs vies : Daniel, Mathieu et Cyril - YouTube
L'opération de ma circoncision (à 20 ans) 🍌🔪 - YouTube
Passage de gâteaux magiques par la frontière (ça se passe pas comme prévu) - YouTube
Moi, la douane et le bus de pauvre 🚔😬 - YouTube
franceinfo : Covid-19 : faute de données conservées, les personnes tombées malades il y a plus de trois mois n'ont pas accès à leur pass sanitaire
Pour Jeff Bezos les employés sont des gens "médiocres" et "paresseux"
Notre Sélection de Sneakers ! - YouTube
Les mathématiques de Futurama - ChouxRom' Cine Club #06 - YouTube
La CNIL s’inquiète que le fichier des dépistages covid devienne un fichier policier | Public Senat
L'Iran élu à la Commission de la condition de la femme de l'ONU
» Un témoin clé du procès Assange avoue avoir inventé ses accusations
Une consommation excessive de café réduit le volume du cerveau et augmente le risque de démence
DEVINE OÙ TU AS ATTERRI CHALLENGE ! (ft Wankil, Nozman) - YouTube
HACKER UN STREAMER AVEC SON MICRO ? (c'est pas une blague) - YouTube
The Mandalorian : Lucasfilm dévoile un des axes principaux de la saison 3 avec cette affiche magnifique
LA VÉRITÉ SUR LE DISQUE DUR VOLÉ DE LEBONCOIN (personne n’est prêt) 3/3 - YouTube
Pourquoi la population a-t-elle résisté aux mesures contre le virus Ebola en RDC ?
De la pierre à la rose, du magma au chaos
b18ddcfd2b755146.png (Image PNG, 720 × 1844 pixels) - Redimensionnée (51%)
franceinfo : Extension du pass sanitaire, amendes, obligation vaccinale : ce que contient le projet de loi anti-Covid-19 adopté par l'Assemblée nationale
LE PLUS GROS SCORPION FRANCAIS ! - AMDE - YouTube
Geriatric Invertebrates - PubMed
franceinfo : Des labyrinthes dans les champs de maïs, un concept étonnant qui séduit les graines d'aventuriers
Nouvelle bande-annonce Dune avec Timothée Chalamet et Zendaya : images sublimes pour l'événement SF de la rentrée - Actus Ciné - AlloCiné
Ⓟⓘⓔⓡⓡⓔ Ⓒⓞⓛ : "Amusez-vous à scanner le passe sanitaire d'un de …" - Mastodon - Gougère Network
99.2% of US Covid deaths in June were unvaccinated, says Fauci | US news | The Guardian
(5) 2005 : Léonce Rudelle, le Elon Musk français | Archive INA - YouTube
franceinfo : Féminicide de Mérignac : le policier qui avait pris la plainte de Chahinez avait été condamné pour "violences intrafamiliales"
François de Bavière — Wikipédia
Les chiots et nous : une affaire de gènes | Histoires de mammifères
INFO FRANCEINFO. "J'ai cru que j'allais mourir" : trois policiers mis en examen pour violences sur un jeune de 19 ans près d'Argenteuil
franceinfo : ENQUÊTE. Projet Pegasus : en France comme au Maroc, des journalistes ciblés par Rabat
franceinfo : Permis de conduire : jusqu'à 90 jours d'attente pour passer l'examen
Lille : de briques et de broc ? #EllesFilmentLille I Passé Sauvage - YouTube
How I draw people - Sketching figures from a reference - YouTube
« Diddy Laugh » : comment ce son banal est devenu l'un des effets les plus utilisés du monde - YouTube
Margaret Mead et la découverte du « genre » I Passé sauvage - YouTube
Pourquoi les Asiatiques ne tiennent pas l'alcool ? - YouTube
VILLEMOUSTAUSSOU - YouTube
+300 milliards pour les super riches : le classement qu'ils veulent faire taire ! - YouTube
Effondrements d’immeubles à Bordeaux, rue de la Rousselle : la situation expliquée en une infographie
Skyblivion ou le futur du Modding - YouTube
Diablo II Resurrected, Respecter un Héritage - YouTube
sebsauvage : "mmm... je suis tombé sur un article intéressant. …" - Framapiaf
La renaissance du CRPG : bon ou mauvais plan ? - YouTube
Obésité : verrouiller votre bouche pour perdre du poids, un incroyable dispositif crée la polémique - midilibre.fr
sebsauvage : "#AuHasardDuNet Une idée cadeau pour @LaurentChe…" - Framapiaf
NATURE. Naissance d'un aigle royal dans le Jura, 170 ans après la dernière nichée
Notre chat pourrait finir par manger notre cadavre - Sciences et Avenir
Tu connais le mangaka Inio Asano ? - YouTube
☠️Volcan Islandais : IL FRÔLE LA MORT sur la LAVE EN FUSION - 12 juin 2021 - YouTube
L'autisme provient-il d'un manque de cholestérol ?
Microsoft exigera un compte Microsoft et une connexion réseau pour configurer Windows 11 Home - ZDNet
Dante and the occitan language - YouTube
LGBTQ+ - Mastodon
Shadowrun Trilogy sur GOG.com
Le plus grand roman du XXe siècle ? | ARTE Book Club | ARTE - YouTube
franceinfo : Israël : des chercheurs affirment avoir découvert une nouvelle espèce d'homme préhistorique
La maison hantée de Villers-Outréaux - Esosphère
Comment l’urine humaine pourrait être l'engrais du futur #PlanB - YouTube
Doctolib a communiqué les recherches de ses usagers allemands à Facebook et Outbrain
🌋 Le Volcan Islandais EST UN MONSTRE !! 15 Juin 2021 - YouTube
The Last of E3 ? TOP / FLOP #E3 2021 - Benzaie TV - YouTube
franceinfo : Euro 2021 : Antoine Griezmann au soutien de la communauté LGBT après la polémique du "stade arc-en-ciel"
The Wonderful World of Deep Sea Worms - YouTube
(PDF) Spatial variations, origins, and risk assessments of polycyclic aromatic hydrocarbons in French soils
Saudi Arabia executes Mustafa al-Darwish for teenage protests
Pearl Jam - Do the Evolution (Official Video) - YouTube
Oarfish, the Real Sea Serpent - YouTube
The Real Greenest Bag - YouTube
Usul. Après la gifle, Macron choisit le déni - YouTube
franceinfo : Marseille : l'IHU du professeur Didier Raoult perquisitionné plusieurs heures dans le cadre d'une enquête financière
Mask Off Flute Meme - YouTube
Parler de fascisme à propos de la France actuelle n'est pas un abus de langage | Slate.fr
Crevettes Neocaridina davidi - YouTube
Jason Voorhees Statue in Minnesota Lake - YouTube
Kaamelott Soundboard
Gironde : 12 ans de prison pour le meurtre à coups de pied d’un homme qui l’importunait - Le Parisien
Trafic de civelles : démantèlement d'un trafic international par des enquêteurs de Bordeaux
BYE BYE BARKHANE | SenePlus
Covid-19 au Brésil : comment Jair Bolsonaro a créé un enfer sur terre
Brésil : un ancien ministre de la Santé de Jair Bolsonaro l'accuse d’avoir laissé le coronavirus se propager
(3) Recette : L'andouillette flambée de Pierrot de Lille | Archive INA - YouTube
KOWLOON WALLED CITY : Vivre dans la ville la plus dense du Monde - Documentaire 2021. - YouTube
Bordeaux : Le passage piéton arc-en-ciel dégradé
Dream Job | Work Chronicles
Covid-19 : les données médicales seront bien conservées pendant 20 ans
https://framablog.org/2021/06/05/va-te-faire-foutre-twitter-dit-aral-balkan/
Occitania, qu'es aquò ? (Occitanie, qu'est-ce que c'est ?) - YouTube
Belgique : Quand une recette de cuisine se retrouve au milieu d'un texte de loi
Inde : colère des médecins envers un gourou qui préconise le yoga contre le Covid-19
Thé ou Café : T'es qui, Karima Delli ? - YouTube
Communiqué de presse et demande de rectificatif
"Mensonges" et "fraude scientifique" : un chercheur Montpelliérain démonte les études du Pr Raoult - midilibre.fr
Origines du SARS-CoV-2 : le virus est-il le produit d’un « gain de fonction » ?
La "bonne technique" pour la reproduction des crevettes par Steph (🦐Floraquatic🌱) - YouTube
Voici l'âge maximal qu'un humain peut atteindre
Drôles d'accents - YouTube
Pourquoi on lit QUE DES CLASSIQUES à l'école ? - YouTube
Comment fonctionne un ESSAIM de robots ? 🤖🤖🤖 - YouTube
Cancer du sein : 1 700 cas par an seraient la conséquence d'une exposition aux polluants atmosphériques en France selon une étude
L'alternative aux probabilités 🎲 - YouTube
Thé ou Café ? Avec Gaëtan, interne à l'hôpital - YouTube
Cheveux : voici le meilleur shampoing selon 60 millions de consommateurs… Il est bio et coûte moins de 7 €
franceinfo : "Il fallait dire que Pfizer causait trois fois plus de morts que AstraZeneca" : une mystérieuse agence de communication propose à des influenceurs de décrédibiliser ce vaccin
Des orties pour vos crevettes (🌿Floraquatic🦐) - YouTube
La Biélorussie force un avion de ligne transportant un opposant à atterrir à Minsk
Concours 100K avec Floraquatic - YouTube
Faut-il s’inquiéter de la prédominance de Doctolib ? - YouTube
(1) Pourquoi la reine d’Angleterre parle un anglais bizarre ? - 28 Minutes - ARTE - YouTube
Biggest Volcano Eruption Comparison On The Earth 🌋🌋 - YouTube
Protestation contre le tiers payant généralisé : le coup de gueule de Christian Saout
(1) Pourquoi le comté est accusé de polluer les prairies et rivières de Franche-Comté #PlanB - YouTube
franceinfo : Loi sur la "sécurité globale" : le Conseil constitutionnel censure l'ex-article 24 visant à sanctionner la diffusion d'images de policiers
Bloqués #114 - Manger un humain - YouTube
"Donnez du Doliprane": elle meurt du Covid à 19 ans après plusieurs appels au Samu - Charente Libre.fr
Vous utilisez le paiement sans contact? Attention à cette arnaque très discrète - Nice-Matin
"Cash Investigation" : un outil compile dans le plus grand secret les données personnelles des Français - midilibre.fr
franceinfo : Déconfinement : consultez le calendrier en quatre étapes annoncé par Emmanuel Macron
NEOVACS : PUBLICATION DANS LA PRESTIGIEUSE REVUE NATURE COMMUNICATIONS DES RÉSULTATS PRÉCLINIQUES PROMETTEURS DANS LE TRAITEMENT DE L'ASTHME - Boursorama
Quand l'Ancien Monde s'est effondré : Les Peuples de la Mer - YouTube
LE CLOPORTE S’INCRUSTE ASSEZ ! – Culture Biologique Numérique
Le Romanès, le Français et quelques langues de plus - YouTube
"On n'est pas l'armée birmane !" : dans les régiments, les "tribunes de militaires" laissent de marbre
Hugh - First French 9a - Sending Footage - YouTube
#90 - C'est qui qui conduit du coup ? par Le Cosy Corner
Covid-19 : Les anticorps resteraient dans le sang au moins 8 mois
LA FUSION NUCLÉAIRE - L'AVENIR DE L'HUMANITÉ - Voyage au cœur des atomes - épisode 7 - YouTube
Un groupe de virus possède un génome complètement différent des autres formes de vie
THE ORIGINS OF FANTASY ART (NEW VERSION) - YouTube
Gaz birman : Visé par une enquête du Monde, Total annule une campagne de pub dans le journal
Why Bamboo Salt Is So Expensive | So Expensive - YouTube
Professor Miller's pure joy as experiment takes unexpected turn (1964) | RetroFocus - YouTube
Covid-19 : des chercheurs ont découvert les causes de l’anosmie | CNEWS
franceinfo : VIDEO. Tout comprendre aux "NFT", ces jetons virtuels qui se vendent plusieurs millions d'euros
25 choses à faire avant de mourir, selon Georges Perec - #CulturePrime - YouTube
L’agressivité mignonne (épisode #84) - La Tête Dans Le Cerveau - YouTube
[Témoignage] Un ancien salarié des pompes funèbres dénonce des pratiques "obscènes"
Animal Memes to lift your spirits - YouTube
Les Pubs Sexistes à l'Ancienne - HARD CORNER - BenzaieTV ft Ganesh2 - YouTube
Mérignac : le corps d'une femme "retrouvé carbonisé sur le trottoir", son époux interpellé
Gaspar Noé & Philippe Nahon : seuls contre tous (1998) | TRACKS | ARTE - YouTube
Polir ses pierres maison ( avec un tonneau à polir ) - YouTube
Les mystères de la "Vierge Voilée" de Giovanni Strazza - YouTube
The Most Iconic Books Set in 150 Countries (Infographic)
The Story Of How Europe Learned Where Migratory Birds Go Is Surprisingly Funny | IFLScience
Des policiers du commissariat du XIXe arrondissement de Paris soupçonnés de « viol » et « violences »
MONSTER HUNTER (film) CHRONO-CRITIQUE par Benzaie - YouTube
Saturday Morning Breakfast Cereal - Nanacoin
Order our of Chaos - Complicated Juniper - YouTube
Life Will Change (Instrumental Version) - Persona 5 - YouTube
Vidéo chiots chiens loups tchécoslovaques âgés 43 jours Elevage des Loups d'Akairo 2013 - YouTube
Les granules homéopathiques / Mutterseelenallein / Le concours Lépine - Karambolage - ARTE - YouTube
Vermicompostage, un jeu d'enfant ! - YouTube
Tuto - Lombricomposteur ou Vermicomposteur à la maison ! - YouTube
3-chamber Carbon-only WORM BIN 100-Day TIME-LAPSE - FAST - vermicomposting - YouTube
CLM S4#32 - Eva Joly - "Le long combat contre la corruption" - YouTube
Usul. Union de la gauche : une guerre d’ego ? - YouTube
Tesla : deux personnes tuées dans un accident, la Model S roulait sans conducteur
affordance.info: NFT : l'original et l'acopie
Comment devenir "Cyber invisible" - Tracks ARTE - YouTube
franceinfo : Devant la justice pour avoir scanné des livres et proposé les contrefaçons sur Internet
franceinfo : Covid-19 : cinq choses à savoir sur la situation sanitaire en Inde, deuxième pays le plus touché au monde par la pandémie
franceinfo : VIDEO. Et si le "Salvator Mundi" n'avait pas été peint par Léonard de Vinci ?
Affaire des « Rafale Papers » : tout comprendre en vidéo et en huit minutes - YouTube
Démocratie délégative - YouTube
Rachel Khan : "Voir Meghan Markle être présentée comme 'racisée', ça me fait rire" - L'Express
(1) Revenu de base mondial - YouTube
L’armée fantôme de Poutine : enquête sur les mercenaires russes Wagner - YouTube
Comment faire pousser de la mousse (Sphaigne) ? ⤴️ - YouTube
Les poissons n'existent pas: Ces plantes qui n’ont pas besoin du Soleil pour vivre
Astrophotographer Spent 12 Years Photographing the Milky Way
Top 8 des mots du lexique LGBT, pour tout comprendre ou presque - YouTube
Coming-out - En France et en Afrique - Replay et vidéos en streaming - France tv
Communautés LGBT en Afrique : Une réalité différente à chaque pays - YouTube
Furyo Soundtrack : Ryuichi Sakamoto - Merry Christmas, Mr Lawrence - YouTube
Fantômes | bouletcorp
Surculpabilité | bouletcorp
(3) On cherche encore cet animal disparu depuis 85 ans - YouTube
The Biggest Frog that Ever Lived - YouTube
Procès du Mediator : la France et son agence du médicament ont-elles tiré les leçons du scandale sanitaire ?
Maison Bonnet : Des Lunettes d'Exception - YouTube
Recette des côtelettes d'agneau à la Champvallon - YouTube
#DÉMO Chara Design par Totte, étudiante en Mastère Cinéma d'Animation 2D - YouTube
The drawing advice that changed my life - YouTube
null
Celebrating 250k subscribers - Youtube Milestone - YouTube
Le Front anti-Corinne Masiero - Le Moment Meurice - YouTube
Bio-Tremplins : la biologie vit et évolue. L'enseignement aussi: Comprendre la beauté du ballet de cristaux sur une bulle de savon qui gèle
How was it made? Golden spider silk - YouTube
Débat : Existe-t-il une langue indo-européenne originelle ? - YouTube
Navalny donne des nouvelles depuis son «camp de concentration amical» – Libération
Japanese Woodblock Printmaking - An Ukiyo-e Falcon - YouTube
Alain Damasio : « le décrochage technologique se traduira par un plaisir de vivre beaucoup plus intense »
Coup de Fouet | bouletcorp
Collecting for Bonsai: MONSTER American Persimmon 2017!!! - YouTube
Réseau criminel franc-maçon : les aveux glaçants du "frère" Templier
franceinfo : Quatre choses à savoir sur le "NFT", la technologie à l'origine de la vente d'une œuvre d'art numérique à 69 millions de dollars
Birmanie : pourquoi l’armée s’est-elle toujours sentie autant menacée par Aung San Suu Kyi ? - YouTube
Les vidéos ❌ WTF au Japon - YouTube
franceinfo : Victime de violences conjugales, comment un message sur les réseaux sociaux lui a "sauvé la vie"
Remembering a carver - Ito Susumu - YouTube
(1) How was it made? An Agate Teapot - YouTube
(3) Tigre à dents de sabre...quésaco? - YouTube
Une femme sans pudeur est comme un plat sans sel | Science de comptoir | Le Vortex #38 - YouTube
Comment je fais rentrer l'Univers dans Excel (et comment m'imiter) - YouTube
Journal Youtube des minéraux #4 - YouTube
La mafia de l'ordre des médecins a encore frappé...
Italie : un char datant de l’époque romaine a été découvert à Pompéi
franceinfo : VIDEO. "Les accents sont des traces de langues qui ont été parlées sur le territoire", selon un chercheur du Laboratoire Parole et Langage d'Aix-en-Provence
Fukushima : les leçons d'une décontamination | CNRS Le journal
Le Bouletmaton, générateur d'avatars de qualité supérieure | Boulet & Kek
Perseverance sur Mars : un message était caché dans le parachute du robot | LCI
Perseverance Rover’s Descent and Touchdown on Mars (Official NASA Video) - YouTube
(1) Diablo 1 - Tristram Village music HD - YouTube
Cree Theme Full - Civilization 6: Rise and Fall - YouTube
Clathrus ruber (Clathre Rouge) de 24570 Condat-sur-Vézère, France le 3 janvier 2021 à 12:34 PM par Raphaël Roudier · iNaturalist
(1) Aux origines des amphibiens : La sortie des eaux - 1/2 - Évolution/paléontologie - Simplex Paléo - YouTube
franceinfo : Plastiques : "Il n'est plus possible de nettoyer les océans", affirment des chercheurs
Ce coquillage est un instrument de musique vieux de 18.000 ans | CNRS Le journal
Usul. Repentance : faut-il céder aux décoloniaux ? - YouTube
Jason Christian Red Dragon - process narration by @gmanonfire - YouTube
Affaire Darmanin : les faits résumés en vidéo - YouTube
Usul. Télétravail : pourquoi le patronat ne joue pas le jeu - YouTube
A Chaos of Delight
POURQUOI UN MINÉRAL N'EST PAS ROND ? - YouTube
Duelling Banjos by Flats and Sharps (on a Bristol to London Train) - YouTube
Artist Makes Portraits On Glass With Just A Hammer - YouTube
250,000 Dominoes - The Incredible Science Machine: GAME ON! - YouTube
Legend of Zelda - Main Theme on Marimba - YouTube
GameStop : 5 minutes pour comprendre l'affaire qui a fait trembler Wall Street - midilibre.fr
When a Chameleon trusts you :) - YouTube
Will's Deli - YouTube
Casta Diva Norma Montserrat Caballe - YouTube
TRAVIATA VERDI Noi Siamo Zingarelle - YouTube
L'opéra imaginaire - Lakmé Delibes (Complete) - YouTube
La journée mondiale des zones humides - La chronique de Constance - YouTube
Le "Croque-Chair", des sangliers confinés et des humains proches - La Revue Paléo #5 - YouTube
Une expérience pour comprendre comment se divise un groupe de personnes | CNRS Le journal
Le japonais et le coréen sont-ils similaires? - YouTube
La formation de l'oeil de Tigre ( et dérivés ) - YouTube
Salut à toi jeune Entrepreneur | bouletcorp
Etats-Unis : des internautes font grimper l'action de l'enseigne de jeux vidéo GameStop et affolent Wall Street
Découvrez le sanctuaire du dieu qui inspira Lovecraft et Tolkien
Le cri glaçant du glacier | CNRS Le journal
Has science solved the Dyatlov Pass incident, one of history’s greatest adventure mysteries?
"Nous n’avons pas eu d’échange récent avec Sanofi sur le projet de vaccin lié au Covid-19", confie Christophe d'Enfert, directeur scientifique de l'Institut Pasteur
Madame la Culture est l'invitée de "BoomBoomerang" - La chronique de Constance - YouTube
Calculateur Queue Vaccin France
Tenet | bouletcorp
Votre Appel est Important pour Nous | bouletcorp
Une IA permet de dépister le cancer de la prostate avec un simple test d'urine
Quincy Jones : "Ils n'avaient pas besoin de 9mm à l'époque" (2009) | Tracks ARTE - YouTube
L'instrumentalisation des traditions - YouTube
(3) Pour en finir avec la Préhistoire - YouTube
30 ans de l'IRIS : une anomalie sympathique - YouTube
Atténuer les effets du changement climatique sur les dunes - YouTube
Les camemberts portant l'étiquette «fabriqué en Normandie» n'auront plus leur place dans les rayons
Râlerie Technologique | bouletcorp
Et la ville numéro 1 de la malbouffe en France est... | CNEWS
Biodiversité : comment le bison d’Europe a été sauvé de l’extinction - Le Parisien
La bibliothèque de Neneuil : lieu convivial et rempart contre la drogue
Bloody Mary deux fois | bouletcorp
Français de nos régions
VIDEO. Un vol de vélo filmé en direct sur Twitter dans le centre-ville de Bordeaux - Charente Libre.fr
Parlez-moi de vous, plutôt. | bouletcorp
Comment le cadre de vie pèse-t-il sur l'obésité ? | CNRS Le journal
franceinfo : TEMOIGNAGES. "Regarde comme on t'aime !" : l'hommage à Fouad, lycéenne transgenre qui s'est suicidée, à Lille
TChoupiGate | bouletcorp
Mauvais Sang | bouletcorp
franceinfo : Covid-19 : fatigue, dépression, douleurs… Ce que révèle l'étude du "Lancet" sur le "Covid long"
Canada : l'autre Amérique ? - Le Dessous des cartes | ARTE - YouTube
(2) Une exentricité géologique au plein coeur d'une carrière de grès ! - YouTube
Epidémie et jeu vidéo - La chronique de Max Bird - YouTube
On a joué trois heures à « Humankind », le futur concurrent de « Civilization »
franceinfo : Présidentielle américaine : on vous explique comment Donald Trump a tenté de faire modifier le résultat en Géorgie en un coup de fil
"Je viens de télécharger mes données Facebook..."
Singapore Police Force can obtain TraceTogether data for criminal investigations: Desmond Tan - CNA
franceinfo : VIDEO. "Mon cerveau n'a pas de sexe" : elle démonte les mythes tenaces associés au cerveau
The Snail with the Right Heart: A True Story
Cas Contact
franceinfo : Pompéi : un thermopolium, "fast-food" antique, sorti intact des cendres
(2) LES MEILLEURS JEUX STAR WARS - YouTube
(2) ON TESTE DES SEXTOYS MASCULINS - ENTRE MECS - YouTube
Bilan géopolitique 2020 - YouTube
Une disparition inexpliquée ? (Enquête sur un mystère du Moyen Âge) - YouTube
LE TEST DE VIRILITÉ ! - ENTRE MECS - YouTube
Avec le Covid-19, on met enfin le nez sur la perte de l'odorat | CNRS Le journal
Inde : une usine d'iPhone saccagée par des ouvriers mal payés | LCI
Nicholas Yee - The Mandalorian Theme - YouTube
En 2020, l'enquête sur l'origine de l'eau rebondit | CNRS Le journal
Artvee
Coronavirus kills more people in the US in one day than on September 11 - ABC News
(1) IDÉE REÇUE #55 : L’or, c’est l’espérance de la Guyane ? - YouTube
(3) Les régimes alimentaires : peut-on "bien manger" ? | LMG#7 - YouTube
Faire votre FORET COMESTIBLE : les savoirs oubliés du 19è s. - YouTube
Алтайское горловое пение - YouTube
Peut-on encore dépolluer les océans ? | CNRS Le journal
(1) #03: Quelle est la différence entre forêt primaire & forêt secondaire ? - YouTube
Un grand-père moderne pour les Néandertaliens | CNRS Le journal
Maladie chez les armuriers |
Ancestris synchronise arbre et photos directement sur Geneanet | La Revue française de Généalogie
franceinfo : L'Union européenne dévoile un plan contre les discriminations et la haine anti-LGBT
Les vitraux en agate de Sigmar Polke : couleurs naturelles ou artificielles ? | Questions de couleurs
The BYTE Is The Grand Prize Winner Of The 2020 Hackaday Prize | Hackaday
(1) Une brève introduction à la Belgique 🍟 - YouTube
Aux origines des chats (félidés) - Évolution / Paléontologie - Simplex Paléo - YouTube
Attestation de déplacement | F-Droid - Free and Open Source Android App Repository
La collection photographique Labouche frères - Occitanie Livre
(7) Alain REY : « L’incroyable histoire des mots de la langue française » - YouTube
Lettre aux parlementaires : Supprimez les boites noires, ne violez pas le droit européen – La Quadrature du Net
COVID-19
🏃 Ce symbole a 18 000 ans | Passé Sauvage & Pause Process | Le Vortex#9 - YouTube
« La question de l'origine du SARS-CoV-2 se pose sérieusement » | CNRS Le journal
J'ai lu... La pensée blanche de Lilian Thuram - YouTube
PICKLE PIE - UN DESSERT AUX CORNICHONS - À Votre Table #29 - YouTube
Masques maisons, chirurgical et FFP2 : sont-ils efficaces contre la COVID-19 ? - YouTube
TousAntiCovid : y a-t-il vraiment des différences avec StopCovid ?
Khrys’presso du lundi 26 octobre 2020 – Framablog
La Chine dévoile un canon à drones kamikazes | korii.
Degenesis (Emission 1D6) - YouTube
(2) Le café : un si long voyage - Le Dessous des cartes | ARTE - YouTube
Ça se passe là haut...: Cosmologie : la gravitation quantique à boucles peut expliquer des anomalies observées dans le CMB
Ça se passe là haut...: Ces 1004 étoiles d'où la Terre peut être détectée par transit
Perturbateurs endocriniens dans les produits à base de soja , l’UFC-Que Choisir saisit l’Anses et la DGCCRF - UFC-Que Choisir
franceinfo : VIDEO. Des milliers de litres "qu'on donnait aux cochons" et "qui retournent dans les petits pots" : comment Lactalis aurait "mouillé" le lait de ses crèmes dessert
Un nouvel organe a été découvert dans le crâne humain : quelles implications ?
Dans l’ombre d’internet… des bibliothèques illégales – serveur410
Le Conseil d'État autorise Microsoft à héberger les données de santé des Français malgré l'invalidation de l'accord Privacy Shield et les recommandations de la CNIL
Prenez la médaille et taisez-vous ! "En nous traitant en héros, ils nous ont réduit au silence"
Comment la Russie torpille le modèle céréalier français - YouTube
(1) Usul. Vivre ensemble, mais pour quoi faire ? - YouTube
[Qu’es aquò ?] Démystifions les flux RSS · Pofilo.fr
Conan le barbare en version orchestrale
Pourquoi ce garde forestier s'inquiète pour sa profession et la forêt - YouTube
Suède : premier cold case résolu par la généalogie génétique
La secrète fluorescence bleue des diamants : un atout ? | Questions de couleurs
Les risques du soja - Play RTS
Pseudosciences | Tu mourras moins bête | ARTE - YouTube
Joueur du Grenier – Son régime, le sport, la vie avant et après l’obésité... - YouTube
Qui finance La Manif pour tous ? | Le Club de Mediapart
Les derniers endroits découverts sur Terre - YouTube
S'assoir sur un ballon n'améliore rien
Divers microfossiles de la Terre suggèrent que la vie extraterrestre devrait être répandue - GuruMeditation
Une première saison approximativement fondatrice par Le Cosy Corner | Écoute gratuite sur SoundCloud
Irreplaceable plant specimens from France destroyed in Australian quarantine blunder - ABC News (Australian Broadcasting Corporation)
Des virus à l’assaut des bactéries | CNRS Le journal
Pas avant le deuxième tour – Nicolas Gregoire – Medium
Orientations politiques de la presse étrangère et française - Intégrer Sciences Po
Le luthier et le cryptographe | CNRS Le journal
Release alpha 0.2 · RSS-Bridge/rss-bridge · GitHub
Monsieur Copé : sur Le Bon Coin, pour 15 centimes d’euro, on a ça - Rue89 - L'Obs
La chimie douce : naturellement créative | CNRS Le journal
Le bitcoin et la blockchain : des gouffres énergétiques
Non, les amateurs de café ne risquent pas de cancer… À moins de le boire bouillant
Turning air into stone | The Economist
ZATAZ Pirater les joueurs de Dofus pour voler de l'argent - ZATAZ
ZATAZ Vente aux enchères de 24.000 bitcoins saisis par la police - ZATAZ
64 ressources de Gallica pour compléter votre généalogie – Auprès de nos Racines
Zythom: L'expert judiciaire et la liberté d'expression
KOMA : Mitsuru Adachi, le temps et le mouvement - YouTube
Intervention policière pendant la prise de parole à Asnières - YouTube
ZATAZ Bitcoin : Prison ferme pour les utilisateurs Russes - ZATAZ
Youtubeurs contre loi travail : "On n'a pas à dire aux jeunes ce qu'ils doivent faire" - Arrêt sur images
e-marketing : l’affiliation 2.0 sera prédictive et bordelaise
Installer Windows… | bouletcorp
Guide de survie en Pandémonium, mode hardcore du jeu Hordes
Do This 52 Week Photography Challenge to Improve Your Skills in 2016
Logjam : la faille qui met Internet à nu | CNRS Le journal
"L'espace sonore" par Julien Eclancher
Batterie sodium-ion: une révolution en marche | CNRS Le journal
These Pinhole Portraits Require 11 Minutes of Posing
HyperCam is a Low-Cost Hyperspectral Camera That Captures What We Can't See
My Free and Open Source Photography Workflow
Kono Donau: A New Ultra-Slow 35mm Film with ISO 6
Les Inrocks - Tva: les députés refusent de considérer les tampons comme des produits de première nécessité
This Rifle Shoots Down Drones with Radio Waves
DRM Could Be Added to the JPEG Image Format
Bordeaux : Weenove décode sur mesure les données - SudOuest.fr
ZATAZ Magazine » Une étudiante obligée d’effacer une référence à Wikileaks dans sa thèse
Analysis of the Association between Catechol-O-Methyltransferase Val158Met and Male Sexual Orientation. - PubMed - NCBI
Neanderthal megafaunal exploitation in Western Europe and its dietary implications: a contextual reassessment of La Cotte de St Brelade (Jersey). - PubMed - NCBI
Et si l’homophobie était une maladie? | Yagg
Camerawoman Fired After She Tripped Refugees and Kicked Children
Se prêter des livres entre particuliers, une fraude pour l'industrie du livre - Les univers du livre
ZATAZ Magazine » Windows Privacy Tweaker : calmer les ardeurs de Windows 10
Le contenu web que vous consultez a-t-il été altéré ? - Korben
Earliest modern human-like hand bone from a new >1.84-million-year-old site at Olduvai in Tanzania. - PubMed - NCBI
Alarm Playing Game - dreeps
Coup de gueule à l'Institut de Génomique Fonctionnelle de Lyon
ZATAZ Magazine » 90% des dossiers médicaux des Coréens du sud vendus à des entreprises privées
Le Parlement européen apporte son soutien sous condition au traité transatlantique
Le crépuscule d'une époque - Les blogs du Diplo
Archaeology. The makers of the Protoaurignacian and implications for Neandertal extinction. - PubMed - NCBI
▶ Old damaged photo RESTORATION & COLORIZATION - [TIMELAPSE] - YouTube
Que mangeons-nous vraiment ? - De la terre à l'assiette - Lundi 29 Juin 20h50 | Accueil
BBC Bat-Crocodile War - YouTube
A Simple Visual Guide to Photographic Lens Filters
Remove cat before flight - YouTube
Le Club de La Mort
"The Best Game" de David Gnouf - Crowdfunding - On compte sur VOUS ! - YouTube
ZATAZ Magazine » Des pirates se sont invités dans l’outil de sécurité LastPass
ZATAZ Magazine » Un espionnage toucherait 600 millions d’utilisateurs Samsung
500px ISO » Stunning Photography, Incredible Stories » 50 Breathtaking Photographs of Butterflies
audomicile.com | WOT Reputation Scorecard | WOT (Web of Trust)
Sir Christopher Lee dies at 93 - latest reaction and tributes - Telegraph
▶ Tiny Hamster is a Giant Monster!! (Ep 7) - YouTube
La note interne de l’Inria qui étrille la loi sur le renseignement - Le blog du C.L.A.P33
DMOZ en 2015
Selective enrichment of damaged DNA molecules for ancient genome sequencing. - PubMed - NCBI
9 sites pour apprendre gratuitement le chinois en ligne — Chine Informations
Allégorie de l'avenir du droit d'auteur : "désolé, contenu privé"
Please Reply #yes to Give Us Unlimited Rights to Your Photo
Why The Media Ignores Jeremy Hammond While Praising Edward Snowden
365 Affirmations for Revolutionary Militants desk calendar by Stephanie McMillan — Kickstarter
This is a Real Photo of Food Cut Into Perfect Cubes
Ces protéines folles qui minent notre cerveau | CNRS Le journal
Être gay ou lesbienne au temps du nazisme | CNRS Le journal
ZATAZ Magazine » Carte bancaire sans contact moins sécurisée que votre carte de bus
Camino Frances Image, Spain - National Geographic Photo of the Day
C'est confirmé, la France adopte la surveillance de masse - Korben
Meet London's First Bitcoin-Only Photographer
A Six-Hour Long-Exposure of the Celestial North Pole
"L'invention la plus dangereuse de l'histoire" | CNRS Le journal
Et si c’était vrai? | bouletcorp
These Portraits Are the Result of Eight-Minute, Light-Painted Exposures
▶ Furze's invention show - Heated shoes - YouTube
Ces piétons qui se cotisent pour les automobilistes
Adelie Penguin Image, Antarctica - National Geographic Photo of the Day
L'Européen est blanc depuis moins de 8.000 ans | Slate.fr
v2 Framabag Presentation
Mon régime | Le Codex Gnoufique
Pourquoi la surveillance de masse induite par la loi sur le renseignement n’empêchera aucun attentat. : Reflets
"Boîte noire" et surveillance du web : le projet de loi sur le renseignement est-il liberticide ?
Lettre ouverte aux traîtres à la République
The 12 Types of Photographs You'll Find on Instagram
The Day is My Enemy - The Prodigy
GOLDEN SHOWER - SLG N°93 - MATHIEU SOMMET - YouTube
Rakher Upobash Image, Bangladesh - National Geographic Photo of the Day
#PJLrenseignement : sommes-nous dans une situation pré-révolutionnaire ? : Reflets
Printemps | bouletcorp
▶ Lil Flip - The Way We Ball (Brutux mix) - YouTube
C'est officiel, Bruxelles recommande de quitter Facebook !
Quel devrait être, en toute logique démocratique, le prix du paquet de cigarettes? | Journalisme et Santé Publique
L'Increvable : un lave-linge créé pour durer 50 ans
Comment je suis devenu une star en Chine (après que mon téléphone volé a atterri là-bas)
Vide Grenier Geek de Talence 2015 | lafucte
"Moi, censuré par la France pour mes opinions politiques"
Huit.re, Framapic, Framabin : Framasoft met les bouchées triples. | Framablog
BBC News - Sir Terry Pratchett, renowned fantasy author, dies aged 66
The Complete Guide to Making Ramen at Home | First We Feast
Guide : Comment reconnaître un bon tatouage ? | Inkage
Large Study Concludes Homeopathy Does Not Effectively Treat Any Health Condition | IFLScience
Un outil pour pirater des comptes Facebook - Korben
Tu quoque Firefox | Framablog
Un guide d’autodéfense numérique indispensable : Reflets
Sign in to read: I've found the real reason so many children are obese - opinion - 03 March 2015 - New Scientist
La mortalité due au tabac est largement sous-estimée | Actualité | LeFigaro.fr - Santé
BBC News - HTC apologises for causing Half-life confusion
Ushijima, l’usurier de l’ombre, MANABE Shohei - Le Codex Gnoufique
Emission Toco Toco en clair sur youtube (en anglais).
The return of the legend RpK, as unearthed by esports historian Duncan "Thorin" Shields - YouTube
USA : une étude sur les différents types de gays (NSFW)
Le Mythe de la Caverne | bouletcorp
Wankband : Pornhub dévoile un bracelet qui se recharge à la force du poignet
Mort de Leonard Nimoy, alias Spock
La neutralité du net s'impose aux USA après un vote historique
Une visualisation des genres littéraires
Corée du Nord : le discours de Yeonmi - Vidéo Dailymotion
I tried to watch Game of Thrones and this is what happened - The Oatmeal
▶ ILL VIBES - CLYW - YouTube
La Quadrature du Net attaque en justice la collecte de données par l'Etat
Quand la NSA flashe les disques durs pour les espionner
Dis-moi avec quelle couleur de pion tu joues et je te dirai qui tu es | Gus and Co
▶ Space Hulk : Deathwing - Rise of the Terminators - Vidéo Dailymotion
Les migrants, les crêpes et le routier - Arrêt sur images
Will the Real Landscape Photography Please Stand Up?
Ceci n'est pas un blog: Le challenge du logo ANSSI
Image de la blogosphère généalogique en 2015
What Outdoor Photos Would Look Like with Other Stars and Planets as Our Sun and Moon
Ancient human genomics: the methodology behind reconstructing evolu... - PubMed - NCBI
Fascinating Photos Inside China's Toy Factories by Michael Wolf
Playing with Infinity by Pointing a DSLR at a Live View Monitor
Charlie à tout prix ? - Les blogs du Diplo
PIA07744.jpg (Image JPEG, 971 × 1008 pixels) - Redimensionnée (61%)
#LQDN va crever : la démocratie citoyenne peut la sauver : Reflets
Une grave menace de détournement du réseau Tor
Place Lehu sans le U |
First Folio de Shakespeare: le regard d'un expert | CNRS le journal
Known: create a single website for all your content
Graphing the Dominant Colors in Photos of Europe
On a cassé pour vous... la Retron 5, la console rétro mal conçue
UMP. On lui dit qu’il a voté… Mais il était au Bar des Sports
Too Many Cooks | Adult Swim - YouTube
Reep.io : partager des fichiers en P2P dans le navigateur
Jurassic Park, le Monde Perdant | bouletcorp
Rosetta Beams Down the First True Color Image of Comet 67P, and No It's Not Gray
Rue de Blaye |
Ebola : quand les escrocs réactionnaires s’en mêlent : Reflets
Cancer , chimio , radio … et pissenlits | Le PharmachienLe Pharmachien
Dix mythes utilisés pour justifier le massacre de la Première Guerre mondiale | Réseau International
Mesmerizing Cinemagraphs Capture The Monotony of 'Routine'
ZATAZ Magazine » Detekt, l’anti espionnage
WAITING - New York at night in 3,454 oil paintings - THE SEA THE SEA on Vimeo
Sauvagement-Bon: Des bettes ? C'est pas bête !
Man Took the Exact Same Picture Every Day for a Year to Highlight Beijing's Air Pollution
100+ Useful Bookmarklets For Better Productivity | Ultimate List
La vaccination: le débat est clos
Inspirograph
Généalogie Express : 17 astuces minutes ~ La Gazette des Ancêtres
Rue Germaine Tailleferre |
[TSUGI] Westeros' got talent - raphaël B.
7 millions de comptes Dropbox auraient été piratés
ZATAZ Magazine » La banque JP Morgan Chase piratée, 83 millions de clients impactés.
Vingt heures de garde à vue pour avoir présenté… un vrai billet de 500 euros | Big Browser
How The World Wastes Food [Infographic] | Popular Science
▶ TALKING - YouTube
Iconic Portrait Photos Throughout History Recreated with John Malkovich as the Subject
Photographer Cleverly Shames HuffPo After They Use Her Imgur-Hosted Photo without Permission
Old, Inexpensive, and Tack-Sharp: Canon’s Best Lenses You Don’t Know About
Elric - Tome 2 - Stormbringer par Julien Blondel,Jean-Luc...
Pour en finir avec la mode SANS GLUTEN | Le PharmachienLe Pharmachien
Using obsidian transfer distances to ex... [J Anthropol Archaeol. 2014] - PubMed - NCBI
A rock engraving made by Neandertha... [Proc Natl Acad Sci U S A. 2014] - PubMed - NCBI
Early Pleistocene human hand phalanx from the Sim... [J Hum Evol. 2014] - PubMed - NCBI
Rembobiner peut être interdit par le droit d'auteur
Video: How to Build a Powerful $500 DIY LED Light Panel for $70
▶ Thomas Schoeffler Jr.
Why First Movers May Fail: Global Versus Sequential Improvement of Complex Technological Artefacts
Project Combines Photos of Abandoned Mills with Lewis Hine's Photos of the Kids Who Worked There
Actualité > Le mystère des pierres qui bougent semble résolu
Danger Beach - Apache on Vimeo
Les chômeurs veulent un renforcement des mesures pour mieux contrôler l’efficacité du ministère du Travail | Le Gorafi.fr Gorafi News Network
La Horde – Schéma (2014) : l’extrême droite, mieux la connaitre pour mieux la combattre
Full-Time Dentist Captures Stunning Photographs of African Wildlife in His Spare Time
Neanderthal and Denisovan retroviruses in modern humans
New high-resolution computed tomogr... [Proc Natl Acad Sci U S A. 2014] - PubMed - NCBI
A phylogenetic framework for evolutionary stud... [BMC Evol Biol. 2013] - PubMed - NCBI
Emergence of Zaire Ebola Virus Disease in Guinea — Preliminary Report — NEJM
Windows 8 : Affichage intempestif de la barre d'icônes et de l'heure
Apple approche les mutuelles pour divulguer le comportement des assurés
Combien coûterait Internet sans publicité ?
Tutoriel d’enregistrement et d’utilisation de ma galerie photo Piwigo - Le Codex Gnoufique
Des gens filmés en ultraviolet et de la crème solaire
Dynamiter une clause de non-concurrence? C'est possible! - L'Express
La compassion chrétienne façon Opus Dei : Reflets
Retrouver comment parlaient nos ancêtres
The earliest pigeon fanciers. [Sci Rep. 2014] - PubMed - NCBI
L'Homme de flores ne serait pas une espèce distincte de Homo sapiens mais...
« J’ai mis fin aux pyramides de Ponzi de l’INSA de Lyon »
▶ T.Rex - 20th Century boy - YouTube
Adblock Edge :: Add-ons for Firefox - Le Hollandais Volant
Tous photographes ! La charte des bonnes pratiques dans les établissements patrimoniaux (Ministère de la Culture et de la Communication)
Indiens Isolés du Pérou - Survival International
Brésil : des Indiens "isolés" entrent en contact avec le monde extérieur
AFRIQUE • Ebola à Lagos : le pire scénario possible | Courrier international
Hypothesis: Brain size and skull shape as criteria for ... [Homo. 2014] - PubMed - NCBI
Ex combattants de Tsahal, ils refusent maintenant de se taire et parlent - Paris Match
Photographer Peeks Inside Cheap Plastic Toys with X-Ray Photo Series
Photographer Turns Her Spam Emails into Imagined Portraits of the Imaginary Senders
La fin du serveur en tant que métier ^^ !
PLOS ONE: Complexity and Demographic Explanations of Cumulative Culture
Les Voisins du Chaos, le blog: Badass Fanart 51 : Pikachu
La presse, Gaza et Israël : Reflets
ZATAZ Magazine » Tor, pelé comme un oignon par la NSA ?
▶ Gladiator II Paintball Sentry Gun - YouTube
Beautiful Macro Photo of a Hummingbird's Details
Shaarli.fr - Espace My - Shaarlo
Arirang Picture -- Dancer Photo -- National Geographic Photo of the Day
208O’s stream on SoundCloud
Blogueuse condamnée : le restaurant dégringole dans Tripadvisor - Arrêt sur images
Sex differences in brain volume are related to specific skills, not to general intelligence
Brush up on your French with this Bastille Day flowchart - LA Times
Un mystérieux trou géant s'est formé dans le sol de Sibérie
Fans Taking Selfies in the Road are the New 'Pain in the A**' for Tour de France Cyclists
And they started to learn code at primary school | CommitStrip - Blog relating the daily life of web agencies developers
Sequencing and Analysis of Neanderthal Genomic DNA
Projet Adam : Microsoft dévoile une intelligence artificielle capable d'apprendre
US Government Says the 4th Amendment Doesn't Apply to Online Storage
▶ Plastic Surgery Face Healing Everyday - YouTube
Pub et Caca | bouletcorp
Des sans-tickets parisiens ont trouvé la solution pour ne plus jamais payer le métro | VICE France
Informations Nutritionnelles
Critique de restaurant : blogueuse condamnée - Arrêt sur images
Woodturning A Segmented Walnut Bowl - YouTube
De la menuiserie en stopmotion
L'Elixir du Dr. Funkathus: "Evil Boy" : la circoncision chez les Xhosas et le tokoloshe selon Die Antwoord
La NSA trace tous les utilisateurs de Tor, et les lecteurs de Linux Journal
La créativité: 18 choses que les gens créatifs font différemment des autres
Beautifully-Crafted Crystal SLRs Will Catch the Light, They Just Can't Capture It
▶ Le révolutionnaire : commentaire audio - YouTube
▶ Ebola: enrayer la propagation, un défi pour l'Afrique de l'Ouest - YouTube
Détails des plus vieux fossiles connus de créatures multicellulaires
L’accord top secret qui doit dépecer les services publics | L'Humanité
Facebook a testé sa capacité de manipulation mentale des foules
BqLSqeBIUAAE9AS.png_large.png (Image PNG, 600 × 210 pixels)
14-18 : "On croit mourir pour la Patrie, on meurt pour des industriels" on Vimeo
La Horde – Lyon : quand les identitaires rêvent d’occuper la Guillotière
Le drapeau belge à l'envers depuis 183 ans
Free will could be the result of 'background noise' in the brain, study suggests - Science - News - The Independent
Auschwitz: la vérité - L'Express
17 GIFs of Terrified Children for Your Adult Amusement from GifGuide
Humor: World Cup Photogs Have to Wear Sony Vests, But Not One Shoots Sony
12 – Le yaourt putassier (2/2) | Bastards, Inc
Le silex rencontre l'impression 3D
Master of the Universe (2013) - IMDb
La Banque du Japon suit l’exemple américain (Bill Bonner) | Olivier Demeulenaere – Regards sur l'économie
25 Photo Clichés You Should Try to Avoid if You Want Your Work to Stand Out
Ce chiot a découvert un intrus dans son jardin. Mais quoi ?
Photographer Captures Spectacular Floral Display in the Middle of Parched Wasteland
Capturing Bullet Time on Film with 364 Separate Pinhole Cameras
«Game of Thrones» versus «Le Seigneur des Anneaux» | Slate.fr
A l’assaut du sommeil, par Jonathan Crary (Le Monde diplomatique)
Understanding Golden Hour, Blue Hour and Twilights
Vas y Nelson, va faire l'interview ^^
Annecy 2/6 | bouletcorp
Remarkable 4-Year Hubble Time-Lapse of a Star's 'Light Echo' Rippling Out in Space
Le Vrai visage de Valls, la critique
Modern-Day Street Photographs of England Captured with a 130-Year-Old Camera
Annecy-1/6 | bouletcorp
La coupe du monde c’est ça… - Le Hollandais Volant
Justin.tv met à la poubelle 7 ans de vidéos d'internautes
Stratos Kalafatis - Athos: Colors of Faith | LensCulture
04 -Si J'Y REGARDE BIEN - Hemera feat Onse Tsw & Gato (-Prod Onse)
How To Take The Perfect Photo - An Interactive Guide from Shutterfly
The Wittiest Bar Signs Ever Made (23 pics) - Izismile.com
Laurent Alexandre : « La robotisation et l’automatisation des actions professionnelles devient réalité », Dossiers thema
Différences Brevet et COV
Computrace - Le mouchard universel présent sur les PC, Mac et appareils Android « Korben
Powerful Photos Illustrate the Real Damage Done by Verbal Abuse
Hong Kong Picture -- Night Photo -- National Geographic Photo of the Day
Stephen Colbert Goes After Amazon and Its Ridiculous Photography Patent
Street Photographs of NYC, as Captured by a 0.1MP Game Boy Camera
Clément Chambaud Photographies | Le blog photo: trucs et astuces !
Quick Tip: A Great Way to Resize Low-Res Images in Photoshop
Epic Photos of the 2010 Volcanic Eruptions in Iceland
3D PRINTER X TATTOO MACHINE / EP 02 on Vimeo
Photoshopped Portraits Paint a Creepy and Cuddly Picture of Infamous World Leaders
Fils unique de l'Himalaya - Mardi 29 Avril 15h40 | Accueil
17 of the Greatest Camera Hacks of All Time
Researchers Create Tiny, Inexpensive, High Quality Lenses by Baking Drops of Silicon
Street Artists 'Erase' London Through Their Creative Photoshop Street Art
Game of Thrones à l'arrache - YouTube
Capturing Yosemite Valley with the World's Largest Wet Plate Collodion Camera
7 Daily Exercises that Will Help Make You a Better Photographer
Pictures of the Week: April 11 – April 18 | TIME.com
Kid Gets Kicked in the Head Trying to Take a Selfie Too Close to a Moving Train
Photographers Take Epic Car Photographs by Lighting Up a Frozen Lake from Below
News de l'OMS
The Haunting Long Exposure Photography of Darren Moore
These Pictures Are Not For You
An Evolving View of Animals
Two Spectacular Photographs of a Volcanic Eruption as Seen from Space by Endeavour
Avant sa mort, Steve Jobs voulait "enfermer les clients dans notre écosystème"
Ep 15: Low Carb Homemade Twinkies w Markus & Kristian (Lemon Sponge Cake Recipe) - YouTube
Emotional baby parody : the International baby !
Leica Lenses (English) on Vimeo
Shaan : Fin de la Souscription : Merci à tous !
La Chute Manuel Valls - YouTube
Jeux vidéo : une presse sous influence - Acrimed | Action Critique Médias
A Concise Explanation of How Crop Factor Affects Both Focal Length AND Aperture
Humor: DigitalRev Puts Together a List of 10 Ways to Annoy a Photography Snob
Tumblr de l'interne | Quand on pense qu’il faut 5 ans pour former un...
Anti-Piracy Group Accused of Stealing the Photo They Used in an Anti-Piracy Ad
PLOS Genetics: Modeling 3D Facial Shape from DNA
Shaan : 3ème Objectif atteint : Le Manuel d'itinérance en couverture cartonnée
Diver Gets Attacked by a Feisty Reef Shark, Captures the Whole Thing on Action Cam
Beautiful Yet Horrifying Aerial Photos of the BP Oil Spill - Feature Shoot
Epic Halloween Prank 2 and Behind The Scenes with Tom Mabe - YouTube
Venez comme vous êtes | 2 Garçons, 1 Fille : 3 Sensibilités
Seung Hoon Park's Photographic Tapestries - Feature Shoot
Les Voisins du Chaos, le blog: Badass Fanart 35 : Yoshi et bébé Mario
Génération Monsanto
Game of Thrones ne visitera pas Carcassonne
1 RC Car, 25 GoPros and 30K Stick Bombs Make for an Awesome Video
MtGox : les comptes piratés et publiés
Comment Amazon cautionne le plagiat de critiques de livres
Shaan : Palier suivant modifié : le Manuel d'itinérance en couverture cartonnée
Un petit peu de loisirs créatifs… le châssis modulaire
Les entreprises ne créent pas l'emploi - Les blogs du Diplo
Kickass Torrent and EZTV Suffer Downtime | TechSpy
Ces Mangas Meconnus #01 : Homunculus - YouTube
Ouvrir plus ou mieux les bibliothèques : investir le débat public
Sodastream : Tardi furieux contre le Festival d'Angoulême
Epidémie de désabonnements aux revues scientifiques - News - MyScienceWork
Junk Food : Le curry pour célibataire
Sans Lendemain - YouTube
Une Seconde… | bouletcorp
Top 10 des films tombés dans le domaine public qui se regardent encore très bien, et gratos en plus | Topito
Bibliocratie : Plateforme française d'édition participative
Décès du dessinateur de la BD Murena, Philippe Delaby
L'arnaque anglaise par mail à 10000 €, meilleure que le dictateur mort
How Firefighting Planes Refill On The Go - Digg
Être auteur et boucler ses fins de mois : 1000 $ de revenus par an
Un label pour promouvoir les libraires qui créent l'événement
10 mois de prison pour une caricature sur Facebook, en Europe !
Kerouac avant la bouteille : vie et survie d'un beatnik
Lycée Japonais vs Lycée Francais : Vision d’une japonaise | Visa Japon
La Norvège offre l'accès gratuit à sa littérature publiée avant 2001
Urine de chat et manuscrits médiévaux : la malédiction du scribe
La Palme du Martyr | bouletcorp
Shaan : Souscription Shaan Renaissance - Faites tourner !
Ce que l’extrême droite ne nous prendra pas - Les blogs du Diplo
L’oeuvre, le mythe et le domaine public (Réponse à Alexandre Astier) | :: S.I.Lex ::
Les roulés à la cannelle danois contiennent... trop de cannelle pour l'Union Européenne - Le Hollandais Volant
echiquier-politique.jpg (Image JPEG, 1515 × 709 pixels) - Redimensionnée (88%)
Un nouveau pas vers l'intelligence artificielle | Mediapart
La NSA détourne des livraisons d'ordinateurs pour les piéger
Une véritable voiture 100% en LEGO « Korben Korben
Comment TF1 saccage une maison en cinq jours | Inform'Action
Les juges, ça ne sert à rien ! « Korben Korben
Test de Edge of Chaos : Independence War 2 sur PC - 11/07/2001
▶ Sténopé & Calotype - YouTube
Memory Limits for Windows Releases (Windows)
Un OGM est-il plus dangereux que le sourire du flamant rose? | Virginie Tournay
De l'ADN humain vieux de 400 000 ans
Shingo Araki, dessinateur des Chevaliers du Zodiaque, Cat's Eyes, Ulysse 31, est décédé - L'EXPRESS
Tabby, une voiture open-source en 2014
vD7dT.jpg (Image JPEG, 440x1388 pixels)
Simpl IT - Comment enregistrer des flux streamés (audio, vidéo) ?
La #DGSE, le #GCHQ, et… #Qosmos : Reflets
Aria2 - L'outil de téléchargement ultra rapide « Korben Korben
Quand Google censure un article critiquant la censure de Google
A Neuroscientist's Radical Theory of How Networks Become Conscious - Wired Science
Point d'avancement sur les nouvelles extensions - Le Bar de Gandi
Présentation | la Recherche
Critique du manga Je ne suis pas mort
Critique du manga Kuzuryu
Critique du manga Un monde formidable
Pyrosequencing as a tool for better understanding of human microbiomes | Siqueira | Journal of Oral Microbiology
http://www.babelio.com/livres/Collectif-La-Bible-tome-1--LAncien-Testament/415380/critiques/479744
Faire l'amour à un robot masturbateur avec un casque virtuel (#NSFW)
Le P2P ne représente plus que 10 % du trafic aux USA
Et si Google fermait mon compte ? - Le Hollandais Volant
PHOTOS. 15 images colorisées pour voir le passé autrement qu'en noir et blanc
Critique des 5 albums du cycle d'Aldébaran par Léo
Critique de Ping Pong, manga shonen de Matsumoto
Victime d'un incendie, Internet Archive lance un appel à dons
Raymond Muelle - Livres, citations, photos et vidéos - Babelio.com
Critique de Les vents de la colère par Yamagami
Critique de Rêves d'enfants de Otomo
Feedly Forces Its Users To Create Google+ Profiles - Slashdot
L’Amour est-il soluble dans le numérique? | bouletcorp
GIMP, le Photoshop libre open-source, quitte SourceForge
Analysez le réseau de votre opérateur / FAI « Korben Korben
You might not be in a real Japanese restaurant when… | RocketNews24
2029 : l’année où le logiciel devient créateur d'entreprise - JDN Web & Tech
Mondes sociaux – Pourquoi la recherche se déconcentre-t-elle en France ?
Un auteur qui répond à ses critiques sur Babelio
La protection Captcha finalement hackée par une intelligence artificielle
IsoHunt refait surface, grâce à ses partisans
#Lustre et compagnie : la société panoptique est enfin là ! : Reflets
Quand la NSA pirate Google et Yahoo! « Korben Korben
Réseau social du livre : respecter sa communauté ou gagner de l'argent ?
Mise à jour du billet : Retour sur Researchgate
et l'athéisme ?
Qu'est-ce qu'ORCID ? | About ORCID
La censure d'une critique de jeu vidéo se retourne contre son éditeur
La petite négligence d'Apple qui fait plaisir à la NSA « Korben Korben
Tu mourras moins bête: Mardi, c'est série
IsoHunt jette l'éponge et trouve un arrangement avec la MPAA
Quand Leclerc fait travailler des chômeurs aux frais de Pôle emploi | En quête d'emploi
Anime Digital Network : la réponse des éditeurs d'animation japonaise au piratage (Màj)
La E-Cigarette : comprendre le succès du vapotage hackable et DiY : Reflets
Notre Toyota était Fantastique | bouletcorp
7 Insects You'll Be Eating in the Future: Scientific American
Ca mijote pres de chez vous ! - SUPER MARMITE
RTEaXOv.jpg (Image JPEG, 460x466 pixels)
Des chercheurs croient avoir trouvé une trace de vie extraterrestre | Passeur de sciences
Flagger – Le jeu des mots interdits | Korben
Linus Torvalds Admits He's Been Asked To Insert Backdoor Into Linux - Slashdot
With Paylib, French Banks Work Together To Compete With PayPal | TechCrunch
Le #FN fait les bons constats, le #FN a la côte, le #FN aime la France, le #FN… : Reflets
MOOC : de nouveaux moyens d'apprentissage, exclusivement en ligne
La poussée fulgurante de Tor serait due à un malware
NE QUITTEZ PAS – Agacé par le télémarketing, un Britannique décide de faire payer les entreprises | Big Browser
Jetez votre box, connectez-vous à l'internet associatif ! - Neutralité du net - Basta !
Au Vietnam, parler d’actualité est désormais interdit sur Internet - Internet - RFI
DuckDuckGo continue de gagner en popularité
Les applications Windows du mois | Korben
La Syrie des leaks : un mail britannique bien embêtant : Reflets
Non couvert par les opérateurs, un village crée son propre réseau mobile
“Pas de réseau et beaucoup d’enfants” | bouletcorp
Le réseau anonyme Tor voit son trafic exploser
Hoax écolos (4/4) : les légumes mutants de Fukushima | Eco(lo)
How to Keep the NSA Out of Your Computer | Mother Jones
Why do we need alternatives to Bitcoin? - Bitcoin Stack Exchange
Vivre d’amour et d’eau fraîche ? Deux biologistes réfutent le fameux adage | Le Gorafi.fr Gorafi News Network
La première guerre civile mondiale | ploum.net
L'Allemagne reconnaît la monnaie virtuelle Bitcoin, pour mieux la taxer
Lockheed Martin : un drone capable de transporter une voiture en préparation
Snowden : le Guardian a dû détruire des disques durs
RSS Bridge – Retrouvez les flux RSS de Twitter, Google, Flickr, Youtube…etc… | Korben
Comment les stades engloutissent l'argent des contribuables - BFMTV.com
L'"expérience de mort imminente" s'expliquerait par un phénomène cérébral
Les publicitaires accusent Mozilla de détourner le net
▶ 小田急線の列車に雷が直撃した瞬間をとらえた映像(登戸) - YouTube
2- Dérives sécuritaires et recul des libertés - Serge Portelli - Vidéo Dailymotion
deviantART: Developers, developers, developers, developers
10 Bogus Excuses People Use When They Steal Photos from the Web
Flux RSS : Feedly se dote d'une version pro à 5 dollars par mois
Le Long Voyage. | bouletcorp
A Race to Save the Orange by Altering Its DNA - NYTimes.com
Russia’s Anti-Gay Crackdown - NYTimes.com
Bradley Manning acquitté du principal chef d'inculpation : collusion avec l'ennemi | Mediapart
Hydromel - Wikipédia
L’Art français de la guerre de Alexis Jenni
Chicago | bouletcorp
[Herodote.net] Regards d'Historiens : les souvenirs de l'Occupation - YouTube
La génération iPad a un vocabulaire plus limité, selon une étude
☠ Bluetouff's blog - Carla Bruni Sarkozy : Anatomie d’une cyber catastrophe à 410 000 euros pour le contribuable
Alan Turing, héros de guerre et génie informatique, bientôt "pardonné" à titre posthume
National Geographic Traveler Photo Contest 2013 (Part 2) - In Focus - The Atlantic
Captvty, logiciel de visionnage des « replay » mis en demeure par TF1 - Le Hollandais Volant
doom-fingernail.jpg (Image JPEG, 450x369 pixels)
Wikipédia, bordel… - Le Hollandais Volant
Créer des GIF animés à partir d’une vidéo | Korben
LiveLeak.com - Israeli soldier drumming on an armored vehicle..
livre_numerique_epuise.png (Image PNG, 757x368 pixels)
Funny objects in real life by Terry Border - Art pics & Design
Yuka, bébé mammouth de 39.000 ans, s'expose au Japon
Pittsburgh & Washington | bouletcorp
AdBlock Plus financé par Google ? La firme aurait payé pour que l'application antipub ne bloque pas ses annonces publicitaires
LE FOSSOYEUR DE FILMS - Dune - YouTube
Infrastructure de mutualisation | Korben
Les jumeaux Winklevoss préparent la première IPO de l'univers Bitcoin - JDN Web & Tech
Un éditeur WYSIWYG sur Wikipedia
PRISM : des mouchards en temps réel chez Google, Facebook... ?
Les USA censurent le Guardian sur l'internet des militaires
Les Bitcoins d'un dealer saisis par la police
Pourquoi la Russie a interdit l'usage des fours à micro-ondes ? - WikiStrike.com
☠ Bluetouff's blog - Tempora : le premier dommage collatéral de l’affaire Prism
Comment plier un t-shirt rapidement
SURICATE - S.O.S Retard - YouTube
☠ Bluetouff's blog - Tout ce que vous cliquerez pourra être retenu contre vous.
Bitcoin Becoming a Household Name with the First Bitcoin Baby | Bitcoin MagazineBitcoin Magazine
Gaz de schiste, la grande escroquerie, par Nafeez Mosaddeq Ahmed (Le Monde diplomatique)
Pourquoi la lecture des blogs est importante - Le Hollandais Volant
ZTE, HP et les mollah : #Spanous ! : Reflets
Dossier - Les protections anti-copie qui font rire ou pleurer sur JeuxVideo.com
Pourquoi @CiscoSystems censure t-il reflets.info ? : Reflets
La fin du jeu vidéo d'occasion serait néfaste pour l'industrie
M.I.T. | bouletcorp
Il existerait bien d’autres univers | Korben
Linkeo passe à l’attaque
RIP, Jack Vance - Boing Boing
Du blé OGM non-approuvé de Monsanto découvert dans l’agriculture américaine - WikiStrike.com
Top 13 des héros Disney version sexy, en slip, à la chippendales | Topito
Zythom - Blog d'un informaticien expert judiciaire: Lettre à mes 16 ans
Bitcointalk At War With Ad Blockers | Bitcoin MagazineBitcoin Magazine
Les folles demandes des ayants droit contre le piratage aux USA
Fairphone : un smartphone qui se veut équitable et intègre
Comment caviarder Wikipedia au profit du registre ReLIRE
Échelle des temps géologiques - Wikipédia
Échelle de Kardashev - Wikipédia
Langue Vivante 01 | bouletcorp
z7JIDgF.gif (Image GIF, 388x252 pixels)
Bitcoin Self-Defense, Part I: Wallet Protection | Bitcoin MagazineBitcoin Magazine
Zythom - Blog d'un informaticien expert judiciaire: Expérience sur l'anonymat
La FAO encourage l'élevage et la consommation d'insectes
Sailor Zviane
Adobe passe Photoshop et Illustrator sous abonnement
☠ Bluetouff's blog - Affaire Tsarnaev : la surveillance de masse des citoyens américains révélée par un ex-agent du FBI
What Happened with LEGO | Reality Prose
Petits Trucs de New-York | bouletcorp
Quand IBM joue avec les atomes | Korben
A repost no doubt, but the best and simplest way I have ever seen this explained. - Imgur
IL Y A UN LOUP – Dans les écoles américaines les armes sont autorisées, mais pas « Le Petit Chaperon rouge » | Big Browser
Mort des netbooks. À qui profite le crime ? | Silicon
Super Mario Bros joué par une intelligence artificielle
☠ Bluetouff's blog - Comment des FAI américains injectent et remplacent des publicités dans les pages web contre la volonté des éditeurs des sites
Aide généalogie: Challege A à Z - E comme Epousailles
Affaire d'Etat: L'armée aurait précipité la chute de Jérôme Cahuzac - News Monde: Europe - tdg.ch
C-3PO Made From Junk - Neatorama
Un malware génère des bitcoins via Skype - Le Monde Informatique
ditesleavecdeschatons
Interview exclusive : les réactions à chaud de notre correspondant aux îles Caîman suite au discours de François Hollande sur l’évasion fiscale : Reflets
Un poisson au sang transparent intrigue les scientifiques à Tokyo: La Voix de la Russie
Challenge A à Z - I comme Indienne
Quand la DCRI cherchent à censurer Wikipedia : les admins se dé-op… et paff l’effet Streisand : Reflets
Extreme Photography – Fubiz™
Open Bidouille Camp Bordeaux - Ulule
Un jour j’irai à New-York avec toi
Apple brûle 1500 bandes dessinées
Micro Universe
Le GUD appelle à des ratonnades d’homosexuels pendant les Gay Prides : Reflets
Cahuzac : un mort, le journalisme à la papa : Reflets
Experts pour cold water on claim that Cyprus crisis caused Bitcoin boom | Ars Technica
festival cinémarges 2013
UCLA researchers create tomatoes that mimic actions of good cholesterol / UCLA Newsroom
S’échapper de Corée du Nord
Market Value of all Bitcoins in Circulation Hits $1 Billion | Bitcoin Magazine
Pourquoi utiliser la fonction Retweet de Twitter alors qu’on peut faire tellement mieux ?
Quelques produits chimiques les plus puissants - le hollandais volant
Expérience de la goutte de poix - Wikipédia
Déclaration du Pfc. Bradley E. Manning devant la Commission d’enquête préparatoire
Problems with French Numbers - Numberphile - YouTube
MARIAGE POUR TOUS
So it hailed in Mississippi today... - Imgur
EA offre un jeu pour s'excuser du lancement chaotique de SimCity
Comment mourrons-nous ? | Korben
Quand les sites de e-commerce nous prennent pour des cons grâce à Saint-Fianet. : Reflets
SFR modifie le source HTML des pages que vous visitez en 3G : Reflets
DRM : JManga ferme et emporte avec lui vos achats
Alternatives to Google Reader - OJB comment call - Google Documents
Un VPN gratuit pour tous | Korben
Drive Fermier Gironde : les produits fermiers près de chez vous
Fermeture de Google Reader – Comment survivre ? | Korben
Bitcoin Network Shaken by Blockchain Fork | Bitcoin Magazine
Et voici venues les Robobees | Korben
L'histoire des mois de notre calendrier
Bee Hummingbird / Zunzuncito | Project Noah
Journée de la femme 2013, on fait ce qu’on peut…
Google trad n'est pas ton ami
A qui appartient le savoir ?
Grosse panique chez D8 : Reflets a fait deux erreurs dans son article
Un cybercriminel phisher de Reflets.info sur Direct8 : Reflets
BitPay Announces Integration with Fulfillment by Amazon | Bitcoin Magazine
Test de SimCity sur PC = bof...
Free et Youtube – Comment régler le souci sous Windows, Mac et Linux
Aide généalogie: Marie, la femme sans nom ...
Numerama doit avoir "plus de mesure dans la critique du vote électronique"
Le Futur est pour Après-Demain
Sinkholes : un phénomène avant tout spectaculaire
Mur de Berlin: l'East Side Gallery démoli pour des appartements de luxe?
Lendemain de cuite pour l’Europe : Reflets
Mort de Stéphane Hessel à l'âge de 95 ans
Clarifying recent news about Golden Rice
Internet Archive Paying Employees in Bitcoin, Asking for Donations | Bitcoin Magazine
Qwant va déployer son propre moteur de recherche
Halte aux rançongiciels | S'informer et lutter contre les rançongiciels
Hypercondriaque | bouletcorp
BnF : sacrifier le domaine public pour numériser les indisponibles
Remerciement du collectif " Manifestons pour l'égalité" organisé par la LGP Bordeaux - Le Girofard, centre LGBT d'Aquitaine
Reddit Gold Accepting Bitcoin | Bitcoin Magazine
14 février Vs 14 mars : Reflets
Metal Grudge - YouTube
Zone de Confort | bouletcorp
Immersion chez tonton Pôle : Reflets
Bande annonce d'Albator 2013 | Arcana Scientis - L'actualité Web, Android, smartphones, graphisme et multimédia.
Do students need more teaching hours and tests? | Education | guardian.co.uk
Aide généalogie: Quand l'état-civil ne dit pas tout !
The End of the Web, Search, and Computer as We Know It | Wired Opinion | Wired.com
Open Access : une réforme législative pour les publications scientifiques
Paola-4 | bouletcorp
After 30 years, is a GM food breakthrough finally here?
FAI – La stratégie du pourrissement | Korben
Who's laughing now, bitches? - Imgur
Towards practical, high-capacity, low-maintenance inf... [Nature. 2013] - PubMed - NCBI
Petit-doigt > Critiques - AlloCiné
Bouletcorp | Society6
Robots Cassés | bouletcorp
Nos livres dans le domaine public | Korben
Les sectes politiques et leurs gourous : Soral, Asselineau, Chouard : Reflets
Vas-y le préfé !
voixdemomes
Petit cours de Social Engineering | Korben
Plus de 50 idées pour votre Raspberry Pi | Korben
COUPEZ ! – Une journaliste filmée riant avec Gilbert Collard obtient le retrait des images | Big Browser
Moustache | bouletcorp
La confession-choc d'un célèbre écologiste devenu pro-OGM | Slate
Meilleurs Voeux | bouletcorp
Aide généalogie: La Révolution Française : Barrière de corail généalogique ...
VIDÉO. L'incroyable transformation d'un transgenre qui s'est photographié pendant 3 ans
Sony va pouvoir bloquer le lancement des jeux d’occasion sur ses consoles | Korben
XS1 – Un fusil longue portée sous Linux | Korben
The Ghost Web | ploum.net
Une équipe de scientifiques filme un calamar géant par 900 mètres de fond dans le Pacifique
Actualité > Le surpoids diminue le risque de mortalité !
Free ne bloque pas que la publicité !
Sony et Universal : les branleurs du social spam indexing se sont-ils fait nettoyer par Google ? : Reflets
Miniconte de Noël | bouletcorp
Eztv.it - Is EZTV Down Right Now?
Aide généalogie: Mourir de nostalgie ...
Les cassandres du GIEC et le matheux têtu… | Reflets
Les 24h de la BD | bouletcorp
Chronique vidéo - 3615 Usul - Les boîtes - Jeuxvideo.com
L'inquiétante normalisation du DPI adoptée par l'UIT
Toujours pas de repos pour les Guerriers | bouletcorp
La dernière série avant la fin du monde Ep1 Les Zombies - Le blog de Monsieur Poulpe
Apprendre à dessiner : Guide pratique pour dessinateurs débutants et confirmés - Peter C. Gray - Critiques, citations, extraits - Babelio.com
Free beer - Wikipédia
The Promo Bay jeté avec l'eau du bain de The Pirate Bay
Dans Arret sur images ! - Le blog de Monsieur Poulpe
MARIAGE : Soirée d'information 6 décembre - Le Girofard, centre LGBT d'Aquitaine
Un blogueur critique du régime meurt en prison sous la torture | Nouvelles d'Iran
LiveLeak.com - Extremely Scary Ghost Elevator Prank in Brazil
J’aurai votre liberté de pisser. « Journalisme Total
25 Places That Look Not Normal, But Are Actually Real
Pirate ta BD !, un projet de promotion de bandes dessinées
Brève Téléphonique | bouletcorp
PayPal, MasterCard, Visa privés d'un pouvoir de pression politique ?
Economistes, institutions, pouvoirs - Les blogs du Diplo
Les USA seraient à l'origine de la cyberattaque contre l'Élysée
Comment écrire un livre dont vous êtes le héros ? | Korben
The Day The Earth Stopped Masturbating -- 2012 -- Trailer HD - YouTube
De Google Analytics à la généalogie, en passant par la nécrophilie…
RemixCV – La création de CV pour tous | Korben
The harp sponge: an extraordinary new species of carnivorous sponge - YouTube
Le Petit Théâtre de la Ligne 3 | bouletcorp
Les opportunités manquées du Libre 2: la décentralisation - Where is Ploum?
Journalisme Total
Touche pas à mon #Hobbit ! (et surtout à mon Trade Mark) | L'Extérieur de l'Asile
Kim Dotcom va doubler le débit Internet de Nouvelle Zélande | Korben
Oscillokézaco : quand Google me demande des trucs bizarres… | L'Extérieur de l'Asile
1982 | bouletcorp
UNE POULE SUR UN MUR: Janua Vera - Jean-Philippe Jaworski (2009)
Le flux total - Where is Ploum?
Télécharger depuis 01net nuit gravement à la santé des PC
Les Archives nationales italiennes mettent 100 millions d'actes en ligne
Villemoustaussou Balcons de Saint-Bernard - La société d'études scientifiques de l'Aude
Passer à Duck Duck Go ? Ça se tente… | Korben
Anciens Apple maniaques, ils ont décroché
Je me suis acheté 27.000 followers sur Twitter | Slate
OGM : comment une étude bidonnée par Monsanto a été validée par les autorités sanitaires - Santé publique - Basta !
Flattr : How I Use It ?
Il n’y a plus de résultats « standards » sur Google. | Korben
L’installation de codecs sans prise de tête | Korben
App Gallery - Flattr.com
Frères mineurs capucins - Wikipédia
Quand Renault anticipait le suicide de ses cadres accusés à tort d'espionnage - Économie - France Info
Sur Internet, l'artiste est condamné à l'humilité
Retour sur Flattr
Pigeons au pruneaux : gastronomie Française ou gastro tout court ? #geonpi | Reflets
That's not fun at all! - Imgur
QyiPd.jpg (Image JPEG, 453x604 pixels)
...Easter... - Imgur
Les commentaires | Korben
Dictionnaire des noms de baptême ([Reprod.]) / par G. Belèze,...
Les Petits Dieux | bouletcorp
iOS 6 : de gros problèmes de batterie sur les iPhone 4 et 4S
Jean-François Narbonne: Lacunes, résultats inexplicables: l'étude anti-OGM sur la sellette
ADIDAS ORIGINAL ZX 700 ‘NAVY & BURGUNDY’
Facebook : une palanquée d’abrutis | Reflets
19 Terrifyingly Hyper-Realistic Tattoos
La disquette de la fin des temps | Korben
Le nouveau Myspace débarque pour concurrencer Facebook - SudOuest.fr
Le Parti Pirate a son premier maire élu, en Suisse
Enfant battu ne la ramène plus « Le blog d'un odieux connard
Le LEGO lasse mais ne se rend pas | Korben
Univers Freebox - La plainte de Free contre SFR fait trembler les opérateurs, qui pourraient devoir rembourser leurs abonnés
The Squatty Potty Toilet Stool
My dog: the paradox - The Oatmeal
Taxe sur le clic ! La presse veut le beurre, et l'argent du beurre
La lévitation acoustique utilisée pour améliorer la fabrication de médicaments | Semageek
Livre numérique : l'ActuaLitté de la semaine (#13)
"Il est responsable de ce que fait sa femme", dit Pascal Rogard
La lavande menacée - Info sciences - Sciences & Santé - France Info
La CNIL tacle Facebook en soutenant Famicity, Diaspora, et d'autres...
Long exposure of fireflies just before dark - Imgur
WarnerBros – Tueurs de créativité | Korben
Diaspora – Un excellent jeu basé sur l’univers de Battlestar Galactica | Korben
Le Bouchon | bouletcorp
Game of Thrones opening sung by a cat - YouTube
Artroulette : un concept original pour découvrir des artistes
Amazon, Apple, Facebook, Google, Microsoft : des milliards au soleil ! - FrenchWeb.fr | FrenchWeb.fr
Nokia – Tu la sens ma grosse arnaque ? | Korben
Un essaim de 49 quadrocoptères réalise réalise un show synchronisé | Semageek
Qubes – L’OS Linux 100% cloisonné | Korben
Nd4JI.jpg (Image JPEG, 400x1662 pixels)
Parkour Assassin’s Creed | Korben
La Russie crée un clone d'Android pour éviter l'espionnage
Encore plus de pression sur Wikileaks | Korben
The End of Facebook: What Will It Take to Kill the King of Social?
tauba auerbach: RGB colorspace atlas
Wikimédia invite à photographier les monuments pour enrichir Wikipédia
ESO - eso1234 - Sweet Result from ALMA
Jackie Chan to donate entire fortune to charity and leave his son nothing | Metro.co.uk
The Gnome Experiment : un nain de jardin autour du monde
YouTube retire une chanson du domaine public
Un 0day dans Java – C’est le moment de désactiver Java | Korben
Essence : les limites du prix coûtant - Europe1.fr - Economie
lbLwV.jpg (Image JPEG, 650x497 pixels)
Projets | bouletcorp
Mise au point de J.Marc ROUILLAN - Le blog du SCALP-REFLEX
couv4.jpg (Image JPEG, 617x828 pixels) - Redimensionnée (67%)
couv3.jpg (Image JPEG, 617x828 pixels) - Redimensionnée (67%)
How to change the boot order of a dual-boot Linux PC | How To - CNET
Accro au café? C’est dans vos gènes ! | ScientiGeek - La symbiose du geek et du scientifique
Le meilleur réseau social jamais créé | Korben
News - Le mystérieux retour de Black Isle Studios - 23/08/2012 - JeuxVideo.com
Une carte de crédit BitCoin bientôt sur le marché
Le Retour du Fan-Art Kawaii | bouletcorp
Le Boss [3615 USUL] - Vidéo Dailymotion
Mind-Bogglingly Detailed Candyland Art
Les lobbies de la culture veulent nous empêcher de critiquer la musique - le hollandais volant
Big Brother is (now) watching you - le hollandais volant
Julian Assange : 5 tactiques pour s'enfuir de l'ambassade
Julian Assange : ou quand les démocraties occidentales montrent leurs limites | Reflets
Roland C. Wagner : une vie de musique et de science-fiction
London Olympic Games 2012 ® et la petite milice privée de British Telecom | Reflets
Coolest cat ever, in my opinion... - Imgur
Les jeux olympiques, ça fout un peu la gerbe quand même… | Reflets
Furieux et paranos, des auteurs font fermer un site légal de prêts de livres
Vacances | bouletcorp
s7tOH.jpg (Image JPEG, 960x640 pixels) - Redimensionnée (87%)
Quand la lumière et l’eau se rencontrent au coeur d’un objectif photo | Reflets
Il filme des policiers en train de griller un feu : "Efface ton film ou on t’embarque"
ADIDAS ORIGINALS FORUM LOW CRAZY LIGHT
ADIDAS ORIGINALS MUENCHEN “TRUE BLUE”
ADIDAS ADICOLOR COLLECTION
Pizza Boomerang Subtitles - YouTube
Les techniques secrètes pour contrôler les forums et l’opinion publique | Korben
Le Point : le plagiat, l’autruche… puis la censure | Reflets
xFyiL.jpg (Image JPEG, 525x800 pixels) - Redimensionnée (70%)
My dog its trying to scare the shit out of me - Imgur
L’europe verrouille les semences anciennes : #seedlove #sauvezkokopelli | Reflets
L'essentiel du piratage de musique se déroule hors ligne, selon la RIAA
Le spammeur Ethylotest-Gratuit (AJMF SAS) menace le blogueur Seb Sauvage | Reflets
Les adventures des inspector cabillot - Diego Marani - Critiques, citations, extraits - Babelio.com
News - Une suite à Planescape Torment ? - 25/07/2012 - JeuxVideo.com
Un virus diffusant AC/DC à fond aurait touché le programme nucléaire iranien
Six Methods to Get Rid of Fruit Flies (with pictures) - wikiHow
Le lapin ! Le lapin ! Le lapin ! | Reflets
GénéInfos: Le fonds Arfido aurait le don d'ubiquité...
Paul Jorion - Le temps qu'il fait le 20 juillet 2012 - YouTube
Karabo, l'exceptionnel australopithèque découvert en Afrique du sud
Ghost in the shell en vrai | Korben
Syrie : Bachar Al Assad aurait quitté Damas | Reflets
Alexandre Astier – Son point de vue sur le téléchargement illégal | Korben
Les Sept Péchés Capitaux | bouletcorp
Ça se passe comme ça chez Mc Donald’s | Korben
Ne m’appelez plus jamais France Info | Korben
Livre numérique : l'Actualitté de la semaine (#6)
Le scandale de la morgue de Lens porté devant la Chancellerie - 20minutes.fr
Piratage d'ebooks : quand on est con, on est con !
aaFwo.gif (Image GIF, 277x156 pixels)
ADIDAS ORIGINALS “DENIM PACK”
DriverPack – La boite à drivers ultime | Korben
Une pétition aux USA demande de réduire la durée du droit d'auteur à 28 ans
Annecy mon Amour | bouletcorp
[EXPLICATIONS] anonymousrevolution.eu - Blabla 15-18 ans sur JeuxVideo.com - 09/07/2012 - 21:00:03
Données publiques : le juge administratif précise les conditions de réutilisation des données des services d'archives - Lagazette.fr
Le Bowling Chat - YouTube
Le droit terrien empêche de voir ce qu'on envoie aux extra-terrestres
FOLIE – Pour avoir brûlé un Coran, un handicapé mental est brûlé à son tour | Big Browser
Polaroid réinvente l'appareil photo à tirage instantané avec le Z2300
Je vais à Disneyland - YouTube
Pourquoi le défaut de la Grèce n’est pas seulement nécessaire : il est souhaitable et légitime | Reflets
Hadopi : une mère demande si elle doit porter plainte contre sa fille. Oui !
Plus de 150 nouveaux noms de domaine saisis par les Etats-Unis
Le Blog d'Olivier Berruyer sur les crises actuelles
Le Blog d'Olivier Berruyer sur les crises actuelles
La Thaïlande, une destination de rêve pour les internautes | Korben
Replier
Replier tout
Déplier
Déplier tout
Êtes-vous sûr de vouloir supprimer ce lien ?
Êtes-vous sûr de vouloir supprimer ce tag ?
Le gestionnaire de marque-pages personnel, minimaliste, et sans base de données par la communauté Shaarli